• Tel: 858.663.9055
  • SeparatorEmail: info@nsjbio.com
  • Tel: 858.663.9055
  • Email: info@nsjbio.com
Home >> Antibodies >> MCAK Antibody

MCAK Antibody (R31643)

  Catalog No Formulation Size Price (USD)  
Image R31643 0.5mg/ml if reconstituted with 0.2ml sterile DI water 100 ug 439
Bulk quote request
Immunofluorescent staining of FFPE human U-2 OS cells with MCAK antibody (green) and DAPI nuclear stain (blue). HIER: steam section in pH6 citrate buffer for 20 min.
Flow cytometry testing of human K562 cells with MCAK antibody at 1ug/million cells (blocked with goat sera); Red=cells alone, Green=isotype control, Blue= MCAK antibody.
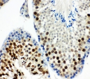
IHC-P: MCAK antibody testing of mouse testis tissue
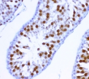
IHC-P: MCAK antibody testing of rat testis tissue
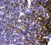
IHC-P: MCAK antibody testing of rat thymus tissue
Western blot testing of MCAK antibody and Lane 1: mouse testis; 2: human HeLa; 3: (h) MM231; 4: (h) MM453; 5: (h) SKOV lysate. Predicted molecular weight 76-81 kDa.
Western blot testing of MCAK antibody and recombinant human protein (0.5ng)
Availability 1-3 business days
Species Reactivity Human, Mouse, Rat
Format Antigen affinity purified
Clonality Polyclonal (rabbit origin)
Isotype Rabbit IgG
Purity Antigen affinity
Buffer Lyophilized from 1X PBS with 2.5% BSA and 0.025% sodium azide
Gene ID 11004
Applications Western Blot : 0.5-1ug/ml
Immunohistochemistry (FFPE) : 0.5-1ug/ml
Immunofluorescence (FFPE) : 2-4ug/ml
Flow Cytometry : 1-3ug/million cells
Limitations This MCAK antibody is available for research use only.
Review this product on BioCompare and get a $20 Amazon gift card

Related Products

Description

Kinesin-like protein, also called Mitotic centromere associated kinesin (MCAK), is a protein that in humans is encoded by the KIF2C gene. It is mapped to 1p34.1. The protein encoded by this gene is a member of kinesin-like protein family. Most proteins of this family are microtubule-dependent molecular motors that transport organelles within cells and move chromosomes during cell division. This protein acts to regulate microtubule dynamics in cells and is important for anaphase chromosome segregation and may be required to coordinate the onset of sister centromere separation. MCAK uses microtubule depolymerizing activity to correct improper microtubule attachments at kinetochores.

Application Notes

The stated application concentrations are suggested starting amounts. Titration of the MCAK antibody may be required due to differences in protocols and secondary/substrate sensitivity.

Immunogen

Human partial recombinant protein (AA 531-725) was used as the immunogen for this MCAK antibody.

Storage

After reconstitution, the MCAK antibody can be stored for up to one month at 4oC. For long-term, aliquot and store at -20oC. Avoid repeated freezing and thawing.

Cross
Bulk Quote Request Form
Name*:
Organization*:
Email*:
Phone Number*:
Catalog No.*:
Comments and Specifics(amount, formulation, etc.)*:
Validation code: Captchapackage Image


Can't read the image? click here to refresh.
    *required field

Your bulk quote request has been submitted successfully!

Please contact us if you have any questions.