• Tel: 858.663.9055
  • SeparatorEmail: info@nsjbio.com
  • Tel: 858.663.9055
  • Email: info@nsjbio.com
Home >> Antibodies >> MC5R Antibody

MC5R Antibody (R35092)

  Catalog No Formulation Size Price (USD)  
Image R35092-100UG 0.5 mg/ml in 1X TBS, pH7.3, with 0.5% BSA (US sourced) and 0.02% sodium azide 100 ug 449
Bulk quote request
Western blot testing of mouse muscle lysate with MC5R antibody at 0.3ug/ml. Predicted molecular weight: ~37 kDa. Both observed bands are blocked by addition of immunizing peptide.
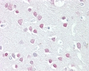
IHC testing of FFPE human brain (cortex) tissue with MC5R antibody at 2.5ug/ml. Required HIER: steamed antigen retrieval with pH6 citrate buffer; AP-staining.
Availability 1-3 business days
Species Reactivity Human, Mouse
Format Antigen affinity purified
Clonality Polyclonal (goat origin)
Isotype Goat Ig
Purity Antigen affinity
Gene ID 4161
Localization Cytoplasmic
Applications Western Blot : 0.3-1ug/ml
IHC (FFPE) : 2.5ug/ml
ELISA (peptide) LOD : 1:8000
Limitations This MC5R antibody is available for research use only.
Review this product on BioCompare and get a $20 Amazon gift card

Description

Additional name(s) for this target protein: Melanocortin 5 receptor

Application Notes

Optimal dilution of the MC5R antibody should be determined by the researcher.

Immunogen

Amino acids PNVKNKSSPCED were used as the immunogen for this MC5R antibody.

Storage

Aliquot and store the MC5R antibody at -20oC.

Cross
Bulk Quote Request Form
Name*:
Organization*:
Email*:
Phone Number*:
Catalog No.*:
Comments and Specifics(amount, formulation, etc.)*:
Validation code: Captchapackage Image


Can't read the image? click here to refresh.
    *required field

Your bulk quote request has been submitted successfully!

Please contact us if you have any questions.