• Tel: 858.663.9055
  • SeparatorEmail: info@nsjbio.com
  • Tel: 858.663.9055
  • Email: info@nsjbio.com
Home >> Antibodies >> MC4-R Antibody / MC4R / Melanocortin Receptor 4

MC4-R Antibody / MC4R / Melanocortin Receptor 4 (RQ6059)

  Catalog No Formulation Size Price (USD)  
Image RQ6059 0.5mg/ml if reconstituted with 0.2ml sterile DI water 100 ug 439
Bulk quote request
Immunofluorescent staining of FFPE human A431 cells with MC4-R antibody (green) and DAPI nuclear stain (blue). HIER: steam section in pH6 citrate buffer for 20 min.
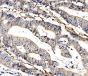
IHC staining of FFPE human rectal cancer with MC4-R antibody. HIER: boil tissue sections in pH8 EDTA for 20 min and allow to cool before testing.
Western blot testing of 1) human U-87 MG, 2) human HEK293, 3) rat PC-12 and 4) mouse Neuro-2a cell lysate with MC4-R antibody. Predicted molecular weight ~37 kDa.
Flow cytometry testing of human U937 cells with MC4-R antibody at 1ug/million cells (blocked with goat sera); Red=cells alone, Green=isotype control, Blue= MC4-R antibody.
Availability 1-3 business days
Species Reactivity Human, Mouse, Rat
Format Antigen affinity purified
Clonality Polyclonal (rabbit origin)
Isotype Rabbit IgG
Purity Affinity purified
Buffer Lyophilized from 1X PBS with 2% Trehalose and 0.025% sodium azide
UniProt P32245
Applications Western Blot : 0.5-1ug/ml
Immunohistochemistry : 1-2ug/ml
Immunofluorescence : 2-4ug/ml
Flow Cytometry : 1-3ug/million cells
Limitations This MC4-R antibody is available for research use only.
Review this product on BioCompare and get a $20 Amazon gift card

Description

Melanocortin receptor 4 is a protein that in humans is encoded by the MC4R gene. This gene is mapped to 18q21.32. The protein encoded by this gene is a membrane-bound receptor and member of the melanocortin receptor family. The encoded protein interacts with adrenocorticotropic and MSH hormones and is mediated by G proteins. This is an intronless gene. Defects in this gene are a cause of autosomal dominant obesity.

Application Notes

Optimal dilution of the MC4-R antibody should be determined by the researcher.

Immunogen

Amino acids QELRKTFKEIICCYPLGGLCDLSSRY from the human protein were used as the immunogen for the MC4-R antibody.

Storage

After reconstitution, the MC4-R antibody can be stored for up to one month at 4oC. For long-term, aliquot and store at -20oC. Avoid repeated freezing and thawing.

Cross
Bulk Quote Request Form
Name*:
Organization*:
Email*:
Phone Number*:
Catalog No.*:
Comments and Specifics(amount, formulation, etc.)*:
Validation code: Captchapackage Image


Can't read the image? click here to refresh.
    *required field

Your bulk quote request has been submitted successfully!

Please contact us if you have any questions.