• Tel: 858.663.9055
  • SeparatorEmail: info@nsjbio.com
  • Tel: 858.663.9055
  • Email: info@nsjbio.com
Home >> Antibodies >> MBD3L3 Antibody

MBD3L3 Antibody (F54637)

  Catalog No Formulation Size Price (USD)  
Image F54637-0.4ML In 1X PBS, pH 7.4, with 0.09% sodium azide 0.4 ml 429
Image
F54637-0.08ML In 1X PBS, pH 7.4, with 0.09% sodium azide 0.08 ml 199
Bulk quote request
Western blot testing of human MCF7 cell lysate with MBD3L3 antibody. Predicted molecular weight ~23 kDa.
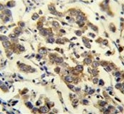
IHC testing of FFPE human testis carcinoma tissue with MBD3L3 antibody. HIER: steam section in pH6 citrate buffer for 20 min and allow to cool prior to staining.
Immunofluorescent staining of human MCF7 cells with MBD3L3 antibody (green) and DAPI nuclear stain (blue).
Flow cytometry testing of human MCF7 cells with MBD3L3 antibody; Blue=isotype control, Green= MBD3L3 antibody.
Availability 1-3 business days
Species Reactivity Human
Format Purified
Clonality Polyclonal (rabbit origin)
Isotype Rabbit Ig
Purity Antigen affinity purified
UniProt A6NE82
Applications Flow Cytometry : 1:25 (1x10e6 cells)
Immunofluorescence : 1:25
Immunohistochemistry (FFPE) : 1:25
Western Blot : 1:500-1:2000
Limitations This MBD3L3 antibody is available for research use only.
Review this product on BioCompare and get a $20 Amazon gift card

Description

The MBD3L proteins are encoded by strongly repeated regions of the 19p13 chromosome. The exact number of functional copies is unclear, and some of them may represent pseudogenes. [UniProt]

Application Notes

The stated application concentrations are suggested starting points. Titration of the MBD3L3 antibody may be required due to differences in protocols and secondary/substrate sensitivity.

Immunogen

A portion of amino acids 156-184 from the human protein was used as the immunogen for the MBD3L3 antibody.

Storage

Aliquot the MBD3L3 antibody and store frozen at -20oC or colder. Avoid repeated freeze-thaw cycles.

Cross
Bulk Quote Request Form
Name*:
Organization*:
Email*:
Phone Number*:
Catalog No.*:
Comments and Specifics(amount, formulation, etc.)*:
Validation code: Captchapackage Image


Can't read the image? click here to refresh.
    *required field

Your bulk quote request has been submitted successfully!

Please contact us if you have any questions.