• Tel: 858.663.9055
  • SeparatorEmail: info@nsjbio.com
  • Tel: 858.663.9055
  • Email: info@nsjbio.com
Home >> Antibodies >> Max-like protein X Antibody / MLX

Max-like protein X Antibody / MLX (F54988)

  Catalog No Formulation Size Price (USD)  
Image F54988-0.4ML In 1X PBS, pH 7.4, with 0.09% sodium azide 0.4 ml 429
Image
F54988-0.08ML In 1X PBS, pH 7.4, with 0.09% sodium azide 0.08 ml 199
Bulk quote request
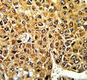
IHC testing of FFPE human hepatocellular carcinoma tissue with Max-like protein X antibody. HIER: steam section in pH6 citrate buffer for 20 min and allow to cool prior to staining.
Western blot testing of 1) non-transfected and 2) transfected 293 cell lysate with Max-like protein X antibody.
Western blot testing of human MDA-MB-231 cell lysate with Max-like protein X antibody. Predicted molecular weight ~33 kDa, commonly observed at 30-50 kDa.
Flow cytometry testing of human NCI-H292 cells with Max-like protein X antibody; Blue=isotype control, Green= Max-like protein X antibody.
Availability 1-3 business days
Species Reactivity Human
Format Purified
Clonality Polyclonal (rabbit origin)
Isotype Rabbit Ig
Purity Antigen affinity purified
UniProt Q9UH92
Localization Cytoplasmic, nuclear
Applications Western Blot : 1:500-1:1000
Flow Cytometry : 1:10-1:50 (1x10e6 cells)
Immunohistochemistry (FFPE) : 1:50-1:100
Limitations This Max-like protein X antibody is available for research use only.
Review this product on BioCompare and get a $20 Amazon gift card

Related Products

Description

MLX belongs to the family of basic helix-loop-helix leucine zipper (bHLH-Zip) transcription factors. These factors form heterodimers with Mad proteins and play a role in proliferation, determination and differentiation. This protein may act to diversify Mad family function by its restricted association with a subset of the Mad family of transcriptional repressors, namely, Mad1 and Mad4.

Application Notes

The stated application concentrations are suggested starting points. Titration of the Max-like protein X antibody may be required due to differences in protocols and secondary/substrate sensitivity.

Immunogen

A portion of amino acids 125-151 from the human protein was used as the immunogen for the Max-like protein X antibody.

Storage

Aliquot the Max-like protein X antibody and store frozen at -20oC or colder. Avoid repeated freeze-thaw cycles.

Cross
Bulk Quote Request Form
Name*:
Organization*:
Email*:
Phone Number*:
Catalog No.*:
Comments and Specifics(amount, formulation, etc.)*:
Validation code: Captchapackage Image


Can't read the image? click here to refresh.
    *required field

Your bulk quote request has been submitted successfully!

Please contact us if you have any questions.