• Tel: 858.663.9055
  • SeparatorEmail: info@nsjbio.com
  • Tel: 858.663.9055
  • Email: info@nsjbio.com
Home >> Antibodies >> MASK Antibody / STK26 / MST4

MASK Antibody / STK26 / MST4 (R34517)

  Catalog No Formulation Size Price (USD)  
Image R34517-100UG 0.5 mg/ml in 1X TBS, pH7.3, with 0.5% BSA (US sourced) and 0.02% sodium azide 100 ug 449
Bulk quote request
Western blot testing of Jurkat lysate with MASK antibody at 0.5ug/ml. Predicted molecular weight: ~47 kDa.
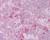
IHC testing of FFPE human thymus tissue with MASK antibody at 2.5ug/ml. Required HIER: steamed antigen retrieval with pH6 citrate buffer; AP-staining.
Availability 1-3 business days
Species Reactivity Human
Predicted Reactivity Mouse, Rat, Dog, Pig, Cow
Format Antigen affinity purified
Clonality Polyclonal (goat origin)
Isotype Goat Ig
Purity Antigen affinity
UniProt Q9P289
Gene ID 51765
Localization Cytoplasmic
Applications Western Blot : 0.5-1.5ug/ml
IHC (FFPE) : 2.5ug/ml
ELISA (peptide) LOD : 1:32000
Limitations This MASK antibody is available for research use only.
Review this product on BioCompare and get a $20 Amazon gift card

Related Products

  • Applications : WB, FACS, IHC-P, Direct ELISA
    Reactivity : Human, Rat

Description

Additional name(s) for this target protein: Mammalian Ste20-like protein kinase 4; MST4; RP6-213H19.1; Serine/threonine-protein kinase 26; STK26

Application Notes

Optimal dilution of the MASK antibody should be determined by the researcher.

Immunogen

Amino acids KLIEKFQKCSADESP were used as the immunogen for this MASK antibody.

Storage

Aliquot and store the MASK antibody at -20oC.

Cross
Bulk Quote Request Form
Name*:
Organization*:
Email*:
Phone Number*:
Catalog No.*:
Comments and Specifics(amount, formulation, etc.)*:
Validation code: Captchapackage Image


Can't read the image? click here to refresh.
    *required field

Your bulk quote request has been submitted successfully!

Please contact us if you have any questions.