• Tel: 858.663.9055
  • SeparatorEmail: info@nsjbio.com
  • Tel: 858.663.9055
  • Email: info@nsjbio.com
Home >> Antibodies >> MAPRE1 Antibody / EB1

MAPRE1 Antibody / EB1 (RQ8286)

  Catalog No Formulation Size Price (USD)  
Image RQ8286 0.5mg/ml if reconstituted with 0.2ml sterile DI water 100 ug 439
Bulk quote request
Western blot testing of 1) rat lung, 2) rat stomach and 3) mouse lung tissue lysate with MAPRE1 antibody. Predicted molecular weight ~30 kDa.
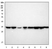
Western blot testing of human 1) HeLa, 2) Jurkat, 3) A431, 4) Ramos, 5) 293T, 6) Caco-2, 7) HEL and 8) SiHa cell lysate with MAPRE1 antibody. Predicted molecular weight ~30 kDa.
Flow cytometry testing of fixed and permeabilized human SiHa cells with MAPRE1 antibody at 1ug/million cells (blocked with goat sera); Red=cells alone, Green=isotype control, Blue= MAPRE1 antibody.
Availability 1-3 business days
Species Reactivity Human, Mouse, Rat
Format Antigen affinity purified
Clonality Polyclonal (rabbit origin)
Isotype Rabbit IgG
Purity Antigen affinity purified
Buffer Lyophilized from 1X PBS with 2% Trehalose
UniProt Q15691
Applications Western Blot : 0.5-1ug/ml
Flow Cytometry : 1-3ug/million cells
ELISA : 0.1-0.5ug/ml
Limitations This MAPRE1 antibody is available for research use only.
Review this product on BioCompare and get a $20 Amazon gift card

Description

Microtubule-associated protein RP/EB family member 1, also called End-binding protein 1 (EB1), is a protein that in humans is encoded by the MAPRE1 gene. The protein encoded by this gene was first identified by its binding to the APC protein which is often mutated in familial and sporadic forms of colorectal cancer. This protein localizes to microtubules, especially the growing ends, in interphase cells. During mitosis, the protein is associated with the centrosomes and spindle microtubules. The protein also associates with components of the dynactin complex and the intermediate chain of cytoplasmic dynein. Because of these associations, it is thought that this protein is involved in the regulation of microtubule structures and chromosome stability. This gene is a member of the RP/EB family.

Application Notes

Optimal dilution of the MAPRE1 antibody should be determined by the researcher.

Immunogen

An E.coli-derived human recombinant protein (A145-Y268) was used as the immunogen for the MAPRE1 antibody.

Storage

After reconstitution, the MAPRE1 antibody can be stored for up to one month at 4oC. For long-term, aliquot and store at -20oC. Avoid repeated freezing and thawing.

Cross
Bulk Quote Request Form
Name*:
Organization*:
Email*:
Phone Number*:
Catalog No.*:
Comments and Specifics(amount, formulation, etc.)*:
Validation code: Captchapackage Image


Can't read the image? click here to refresh.
    *required field

Your bulk quote request has been submitted successfully!

Please contact us if you have any questions.