• Tel: 858.663.9055
  • SeparatorEmail: info@nsjbio.com
  • Tel: 858.663.9055
  • Email: info@nsjbio.com
Home >> Antibodies >> MAPKAPK2 Antibody

MAPKAPK2 Antibody (R36061)

  Catalog No Formulation Size Price (USD)  
Image R36061-100UG 0.5 mg/ml in 1X TBS, pH7.3, with 0.5% BSA (US sourced) and 0.02% sodium azide 100 ug 449
Bulk quote request
Western blot testing of mouse embryonic fibroblasat lysates from double KO mice (lanes 2 & 3) and rescued by introduction of MK2 gene in second lane. MK2 / MAPKAPK2 antibody was used at 0.5ug/ml. Predicted molecular weight: ~45kDa.
Western blot of HEK293 lysate overexpressing mouse MK2-GFP or MK5-GF probed with MAPKAPK2 antibody at 0.5ug/ml: cat # R36061 on left and cat # R35113 on right. Predicted molecular weight of MAPKAPK2+GFP: ~72kDa.
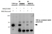
Immunoprecipitation: MAPKAPK2 antibody (cat # R36061 and cat # R35113, 1.5ug used) precipitates from lysates of MK2/MK3 double knockout MEFs, with (third and fifth lanes) and without (fourth and sixth lanes) rescued MK2 expression through retroviral transduction.
Availability 1-3 business days
Species Reactivity Human, Mouse
Predicted Reactivity Cow, Dog, Rat
Format Antigen affinity purified
Clonality Polyclonal (goat origin)
Isotype Goat Ig
Purity Antigen affinity
Gene ID 9261
Applications Western Blot : 0.5-1.5ug/ml
Immunoprecipitation : 1.5ug
ELISA (peptide) LOD : 1:128000
Limitations This MAPKAPK2 antibody is available for research use only.
Review this product on BioCompare and get a $20 Amazon gift card

Related Products

  • Applications : WB (transfected), ELISA (peptide), IP
    Reactivity : Human, Mouse, Rat

Description

Additional name(s) for this target protein: Mitogen-activated protein kinase-activated protein kinase 2; MK2

Application Notes

Optimal dilution of the MAPKAPK2 antibody should be determined by the researcher.

Immunogen

Amino acids SRVLKEDKERWED were used as the immunogen for this MAPKAPK2 antibody.

Storage

Aliquot and store the MAPKAPK2 antibody at -20oC.

Cross
Bulk Quote Request Form
Name*:
Organization*:
Email*:
Phone Number*:
Catalog No.*:
Comments and Specifics(amount, formulation, etc.)*:
Validation code: Captchapackage Image


Can't read the image? click here to refresh.
    *required field

Your bulk quote request has been submitted successfully!

Please contact us if you have any questions.