• Tel: 858.663.9055
  • SeparatorEmail: info@nsjbio.com
  • Tel: 858.663.9055
  • Email: info@nsjbio.com
Home >> Antibodies >> MAPKAPK2 Antibody

MAPKAPK2 Antibody (R35113)

  Catalog No Formulation Size Price (USD)  
Image R35113-100UG 0.5 mg/ml in 1X TBS, pH7.3, with 0.5% BSA (US sourced) and 0.02% sodium azide 100 ug 449
Bulk quote request
Western blot of HEK293 lysate overexpressing mouse MK2/MAPKAPK2-GFP or overexpressing MK5-GFP and probed with MAPKAPK2 antibody (0.5ug/ml, catalog # R36061) in the left panel and with MAPKAPK2 antibody (0.5ug/ml, cat # R35113) in the right panel.
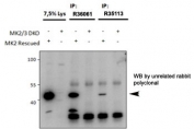
Immunoprecipitation: MAPKAPK2 antibody (cat # R36061 and cat # R35113 at 1.5ug) precipitates from lysates of MK2/MK3 double knockout MEFs, with (third and fifth lanes) and without (fourth and sixth lanes) rescued MK2 expression through retroviral transduction.
Availability 1-3 business days
Species Reactivity Human, Mouse, Rat
Format Antigen affinity purified
Clonality Polyclonal (goat origin)
Isotype Goat Ig
Purity Antigen affinity
Gene ID 9261
Applications Western Blot : 0.5-2ug/ml
Immunoprecipitation : 1.5ug
ELISA (peptide) LOD : 1:32000
Limitations This MAPKAPK2 antibody is available for research use only.
Review this product on BioCompare and get a $20 Amazon gift card

Related Products

  • Applications : WB, IP, ELISA (peptide)
    Reactivity : Human, Mouse
    Pred. Reactivity : Cow, Dog, Rat

Description

Additional name(s) for this target protein: Mitogen-activated protein kinase-activated protein kinase 2

Application Notes

Optimal dilution of the MAPKAPK2 antibody should be determined by the researcher.

Immunogen

Amino acids PQFHVKSGLQIK were used as the immunogen for this MAPKAPK2 antibody.

Storage

Aliquot and store the MAPKAPK2 antibody at -20oC.

Cross
Bulk Quote Request Form
Name*:
Organization*:
Email*:
Phone Number*:
Catalog No.*:
Comments and Specifics(amount, formulation, etc.)*:
Validation code: Captchapackage Image


Can't read the image? click here to refresh.
    *required field

Your bulk quote request has been submitted successfully!

Please contact us if you have any questions.