• Tel: 858.663.9055
  • SeparatorEmail: info@nsjbio.com
  • Tel: 858.663.9055
  • Email: info@nsjbio.com
Home >> Antibodies >> MAP4K1 Antibody

MAP4K1 Antibody (R33675)

  Catalog No Formulation Size Price (USD)  
Image R33675-100UG 0.5 mg/ml in 1X TBS, pH7.3, with 0.5% BSA (US sourced) and 0.02% sodium azide 100 ug 449
Bulk quote request
Western blot testing of Jurkat lysate with MAP4K1 antibody at 0.5ug/ml. Predicted molecular weight: ~96 kDa.
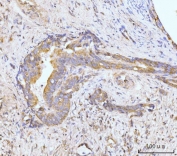
IHC testing of FFPE human thymus tissue with MAP4K1 antibody at 2.5ug/ml. Required HIER: steamed antigen retrieval with pH6 citrate buffer; AP-staining.
Availability 1-3 business days
Species Reactivity Human
Predicted Reactivity Cow, Dog, Mouse, Pig, Rat
Format Antigen affinity purified
Clonality Polyclonal (goat origin)
Isotype Goat Ig
Purity Antigen affinity
Gene ID 11184
Applications Western Blot : 0.5-2ug/ml
IHC (FFPE) : 2.5uug/ml
ELISA (peptide) LOD : 1:32000
Limitations This MAP4K1 antibody is available for research use only.
Review this product on BioCompare and get a $20 Amazon gift card

Related Products

  • Applications : WB
    Reactivity : Human
  • Applications : WB, IHC-P, FACS, Direct ELISA
    Reactivity : Human

Description

Additional name(s) for this target protein: Mitogen-activated protein kinase kinase kinase kinase 1

Application Notes

Optimal dilution of the MAP4K1 antibody should be determined by the researcher.

1. This MAP4K1 antibody is specfic to isoforms 1 and 2.

Immunogen

Amino acids DVVDPDIFNRDPR were used as the immunogen for this MAP4K1 antibody.

Storage

Aliquot and store the MAP4K1 antibody at -20oC.

Cross
Bulk Quote Request Form
Name*:
Organization*:
Email*:
Phone Number*:
Catalog No.*:
Comments and Specifics(amount, formulation, etc.)*:
Validation code: Captchapackage Image


Can't read the image? click here to refresh.
    *required field

Your bulk quote request has been submitted successfully!

Please contact us if you have any questions.