• Tel: 858.663.9055
  • SeparatorEmail: info@nsjbio.com
  • Tel: 858.663.9055
  • Email: info@nsjbio.com
Home >> Antibodies >> MAP3K1 Antibody / MEKK1

MAP3K1 Antibody / MEKK1 (R31023)

  Catalog No Formulation Size Price (USD)  
Image R31023 0.5mg/ml if reconstituted with 0.2ml sterile DI water 100 ug 439
Bulk quote request
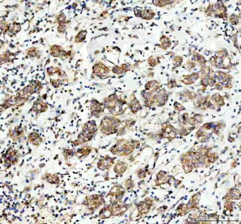
IHC staining of FFPE human breast cancer tissue with MAP3K1 antibody. HIER: boil tissue sections in pH8 EDTA for 20 min and allow to cool before testing.
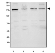
Western blot testing of 1) huma A549, 2) human SH-SY5Y, 3) rat PC-12 and 4) mouse NIH 3T3 cell lysate with MAP3K1 antibody. Predicted molecular weight ~162 kDa.
Flow cytometry testing of fixed human SH-SY5Y cells with MAP3K1 antibody at 1ug/million cells (blocked with goat sera); Red=cells alone, Green=isotype control, Blue= MAP3K1 antibody.
Availability 1-3 business days
Species Reactivity Human, Mouse, Rat
Format Antigen affinity purified
Clonality Polyclonal (rabbit origin)
Isotype Rabbit IgG
Purity Antigen affinity
Buffer Lyophilized from 1X PBS with 2% Trehalose
UniProt Q13233
Localization Cytoplasm
Applications Western Blot : 0.5-1ug/ml
Immunohistochemistry (FFPE) : 2-5ug/ml
Flow Cytometry : 1-3ug/million cells
Limitations This MAP3K1 antibody is available for research use only.
Review this product on BioCompare and get a $20 Amazon gift card

Related Products

Description

Mitogen-activated protein kinase kinase kinase 1, also known as MEKK1, MAPKKK1, MEK Kinase or MAP/ERK Kinase Kinase 1, is an enzyme that in humans is encoded by the MAP3K1 gene. Vinik et al.(1995) identified DNA sequence and size polymorphisms in intronic and 3-prime untranslated regions of the mouse gene and the human homolog. Using these allele-specific polymorphisms, they mapped the mouse gene in an intersubspecific backcross to chromosome 13. They mapped the human gene to chromosome 5 by somatic cell hybrid analysis. By assaying transfected COS-1 cells, Xia et al.(1998) showed that human MAP3K1 / MEKK1 activated JNK1 (MAPK8) robustly and p38-alpha (MAPK14) less efficiently, but it had only a marginal effect on ERK2 (MAPK1). MAP3K1 / MEKK1 directly and specifically interacted with JNKK1 (MAP2K4) and activated JNKK1 in cells and in vitro. Phosphorylation of JNKK1 disrupted their interaction. MEKK1 and JNK1 competed for binding to JNKK1. Xia et al.(1998) concluded that JNKK1 is the preferred MEKK1 substrate.

Application Notes

The stated application concentrations are suggested starting amounts. Titration of the MAP3K1 antibody may be required due to differences in protocols and secondary/substrate sensitivity.

Immunogen

An amino acid sequence from the C-terminus of human MEK kinase 1 (PEVLRGQQYGRSCDV) was used as the immunogen for this MAP3K1 antibody (100% homologous in human, mouse and rat).

Storage

After reconstitution, the MAP3K1 antibody can be stored for up to one month at 4oC. For long-term, aliquot and store at -20oC. Avoid repeated freezing and thawing.

Cross
Bulk Quote Request Form
Name*:
Organization*:
Email*:
Phone Number*:
Catalog No.*:
Comments and Specifics(amount, formulation, etc.)*:
Validation code: Captchapackage Image


Can't read the image? click here to refresh.
    *required field

Your bulk quote request has been submitted successfully!

Please contact us if you have any questions.