• Tel: 858.663.9055
  • SeparatorEmail: info@nsjbio.com
  • Tel: 858.663.9055
  • Email: info@nsjbio.com
Home >> Antibodies >> MAP2K1 Antibody / MEK1

MAP2K1 Antibody / MEK1 (F54728)

  Catalog No Formulation Size Price (USD)  
Image F54728-0.4ML In 1X PBS, pH 7.4, with 0.09% sodium azide 0.4 ml 429
Image
F54728-0.08ML In 1X PBS, pH 7.4, with 0.09% sodium azide 0.08 ml 199
Bulk quote request
Western blot testing of 1) human MDA-MB-231, 2) mouse NIH 3T3 and 3) rat C6 cell lysate with MAP2K1 antibody. Predicted molecular weight ~43 kDa.
Western blot testing of 1) human A431, 2) human HeLa, 3) human Jurkat, 4) mouse NIH 3T3, 4) mouse spleen and 6) rat C6 cell lysate with MAP2K1 antibody. Predicted molecular weight ~43 kDa.
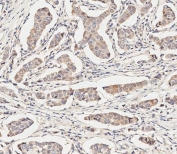
IHC testing of FFPE human breast cancer tissue with MAP2K1 antibody. HIER: steam section in pH9 EDTA for 20 min and allow to cool prior to staining.
IHC testing of FFPE human brain tissue with MAP2K1 antibody. HIER: steam section in pH9 EDTA for 20 min and allow to cool prior to staining.
Availability 1-3 business days
Species Reactivity Human, Mouse, Rat
Format Purified
Clonality Polyclonal (rabbit origin)
Isotype Rabbit Ig
Purity Antigen affinity purified
UniProt Q02750
Localization Cytoplasmic, nuclear
Applications Immunohistochemistry (FFPE) : 1:25
Western Blot : 1:500-1:2000
Limitations This MAP2K1 antibody is available for research use only.
Review this product on BioCompare and get a $20 Amazon gift card

Related Products

Description

The protein encoded by this gene is a member of the dual specificity protein kinase family, which acts as a mitogen-activated protein (MAP) kinase kinase. MAP kinases, also known as extracellular signal-regulated kinases (ERKs), act as an integration point for multiple biochemical signals. This protein kinase lies upstream of MAP kinases and stimulates the enzymatic activity of MAP kinases upon wide variety of extra- and intracellular signals. As an essential component of MAP kinase signal transduction pathway, this kinase is involved in many cellular processes such as proliferation, differentiation, transcription regulation and development.

Application Notes

The stated application concentrations are suggested starting points. Titration of the MAP2K1 antibody may be required due to differences in protocols and secondary/substrate sensitivity.

Immunogen

A portion of amino acids 200-227 from the human protein was used as the immunogen for the MAP2K1 antibody.

Storage

Aliquot the MAP2K1 antibody and store frozen at -20oC or colder. Avoid repeated freeze-thaw cycles.

Cross
Bulk Quote Request Form
Name*:
Organization*:
Email*:
Phone Number*:
Catalog No.*:
Comments and Specifics(amount, formulation, etc.)*:
Validation code: Captchapackage Image


Can't read the image? click here to refresh.
    *required field

Your bulk quote request has been submitted successfully!

Please contact us if you have any questions.