• Tel: 858.663.9055
  • SeparatorEmail: info@nsjbio.com
  • Tel: 858.663.9055
  • Email: info@nsjbio.com
Home >> Antibodies >> MAOB Antibody / Monoamine Oxidase B

MAOB Antibody / Monoamine Oxidase B (R32040)

  Catalog No Formulation Size Price (USD)  
Image R32040 0.5mg/ml if reconstituted with 0.2ml sterile DI water 100 ug 439
Bulk quote request
IHC staining of FFPE human brain tissue with MAOB antibody, HRP-secondary and DAB substrate. HIER: boil tissue sections in pH8 EDTA for 20 min and allow to cool before testing.
IHC staining of FFPE human colon tissue with MAOB antibody, HRP-secondary and DAB substrate. HIER: boil tissue sections in pH8 EDTA for 20 min and allow to cool before testing.
Immunoprecipitation of MAOB protein from 500ug of human HeLa whole cell lysate with 2ug of MAOB antibody.
Western blot testing of 1) human HCCT, 2) human HCCP, 3) rat liver and 4) mouse liver tissue lysate with MAOB antibody. Predicted weight ~59 kDa.
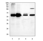
Western blot testing of 1) human SiHa, 2) human HepG2, 3) human HeLa, 4) human placenta, 5) rat liver, 6) rat brain, 7) mouse liver and 8) mouse brain tissue lysate with MAOB antibody. Predicted weight ~59 kDa.
Availability 1-3 business days
Species Reactivity Human, Mouse, Rat
Format Antigen affinity purified
Clonality Polyclonal (rabbit origin)
Isotype Rabbit IgG
Purity Antigen affinity
Buffer Lyophilized from 1X PBS with 2% Trehalose
UniProt P27338
Localization Cytoplasmic
Applications Western Blot : 0.5-1ug/ml
Immunohistochemistry (FFPE) : 2-5ug/ml
Immunoprecipitation : 2ug per 500ug of lysate
Limitations This MAOB antibody is available for research use only.
Review this product on BioCompare and get a $20 Amazon gift card

Related Products

Description

MAOB (Monoamine Oxidase B) is a mitochondrial outer membrane enzyme that catalyzes the oxidative deamination of neurotransmitters and dietary amines. It plays an important role in regulating dopamine and phenylethylamine levels in the brain, influencing mood, cognition, and motor function.

MAOB is expressed in glial cells and other tissues, with activity that increases during aging. Dysregulation of MAOB has been associated with neurodegenerative diseases such as Parkinson's and Alzheimer's, as well as psychiatric conditions. Because of its role in dopamine metabolism, MAOB is also a therapeutic target for inhibitors used in treating Parkinson's disease.

Using a high-quality MAOB antibody enables reliable detection in applications such as western blot, immunohistochemistry, and ELISA. An MAOB antibody from NSJ Bioreagents provides reproducibility and sensitivity for studies in neurotransmitter metabolism, neurodegeneration, and pharmacological research. Selecting the right MAOB antibody is essential for generating accurate and consistent results.

Application Notes

Optimal dilution of the MAOB antibody should be determined by the researcher.

Immunogen

Amino acids REILHAMGKIPEDEIWQSEPESVDVPAQPITTTFLER of human MAOB were used as the immunogen for the MAOB antibody.

Storage

After reconstitution, the MAOB antibody can be stored for up to one month at 4oC. For long-term, aliquot and store at -20oC. Avoid repeated freezing and thawing.

Cross
Bulk Quote Request Form
Name*:
Organization*:
Email*:
Phone Number*:
Catalog No.*:
Comments and Specifics(amount, formulation, etc.)*:
Validation code: Captchapackage Image


Can't read the image? click here to refresh.
    *required field

Your bulk quote request has been submitted successfully!

Please contact us if you have any questions.