• Tel: 858.663.9055
  • SeparatorEmail: info@nsjbio.com
  • Tel: 858.663.9055
  • Email: info@nsjbio.com
Home >> Antibodies >> Mannose Receptor Antibody / MRC1 / CD206

Mannose Receptor Antibody / MRC1 / CD206 [clone MRC1/9457] (V5767)

  Catalog No Formulation Size Price (USD)  
Image V5767-100UG 0.2 mg/ml in 1X PBS with 0.1 mg/ml BSA (US sourced), 0.05% sodium azide 100 ug 539
Image
V5767-20UG 0.2 mg/ml in 1X PBS with 0.1 mg/ml BSA (US sourced), 0.05% sodium azide 20 ug 249
Image
V5767SAF-100UG 1 mg/ml in 1X PBS; BSA free, sodium azide free 100 ug 539
Bulk quote request
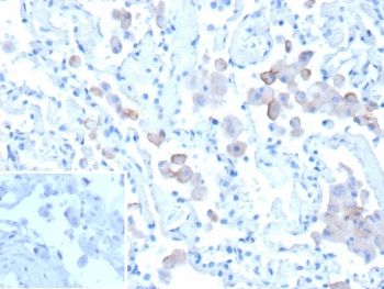
IHC staining of FFPE human lung tissue with Mannose Receptor antibody (clone MRC1/9457). Inset: PBS used in place of primary Ab (secondary Ab negative control). HIER: boil tissue sections in pH 9 10mM Tris with 1mM EDTA for 20 min and allow to cool before testing.
SDS-PAGE analysis of purified, BSA-free Mannose Receptor antibody (clone MRC1/9457) as confirmation of integrity and purity.
Availability 1-3 business days
Species Reactivity Human
Format Purified
Clonality Monoclonal (mouse origin)
Isotype Mouse IgG1, kappa
Clone Name MRC1/9457
Purity Protein G affinity
UniProt P22897
Localization Cytoplasm
Applications Immunohistochemistry (FFPE) : 1-2ug/ml
Limitations This Mannose Receptor antibody is available for research use only.
Review this product on BioCompare and get a $20 Amazon gift card

Related Products

Description

CD206, also known as macrophage mannose receptor type C (MMR, MRC1L1 and MRC1), is a type I membrane receptor protein. It is an phagocytic and endocytic receptor that can recognize carbohydrate ligands in target molecules. The extracellular portion of the protein includes eight C-type carbohydrate recognition domains (CRD) which are clustered together to achieve higher affinity binding to saccharides. CD206 is found on macrophages and on endothelial cells of the liver and is the only known example of a C-type lectin that contains multiple C-type CRDs. CD206 mediates the endocytosis of glycoproteins by macrophages and binds high-mannose structures on the surface of potentially pathogenic viruses, fungi and bacteria enabling them to be neutralized by phagocytic engulfment. During inflammation, CD206 is crucial for rapid clearance of several mannose-bearing serum glycoproteins but does not regulate the initiation of inflammation. CD206 is primarily expressed in mature tissue macrophages and immature dendritic cells, as well as hepatic and lymphatic endothelial cells, retinal pigmental epithelium (RPE) and mesangial cells.

Application Notes

Optimal dilution of the Mannose Receptor antibody should be determined by the researcher.

Immunogen

A portion of amino acids 1100-1400 from human Macrophage mannose receptor 1 protein was used as the immunogen for the Mannose Receptor antibody.

Storage

Aliquot the Mannose Receptor antibody and store frozen at -20oC or colder. Avoid repeated freeze-thaw cycles.

Cross
Bulk Quote Request Form
Name*:
Organization*:
Email*:
Phone Number*:
Catalog No.*:
Comments and Specifics(amount, formulation, etc.)*:
Validation code: Captchapackage Image


Can't read the image? click here to refresh.
    *required field

Your bulk quote request has been submitted successfully!

Please contact us if you have any questions.