• Tel: 858.663.9055
  • SeparatorEmail: info@nsjbio.com
  • Tel: 858.663.9055
  • Email: info@nsjbio.com
Home >> Antibodies >> Mammaglobin Antibody / SCGB2A2

Mammaglobin Antibody / SCGB2A2 [clone MGB/2000] (V3862)

  Catalog No Formulation Size Price (USD)  
Image V3862-100UG 0.2 mg/ml in 1X PBS with 0.1 mg/ml BSA (US sourced) and 0.05% sodium azide 100 ug 539
Image
V3862-20UG 0.2 mg/ml in 1X PBS with 0.1 mg/ml BSA (US sourced) and 0.05% sodium azide 20 ug 249
Image
V3862SAF-100UG 1 mg/ml in 1X PBS; BSA free, sodium azide free 100 ug 539
Microvalidated
Bulk quote request
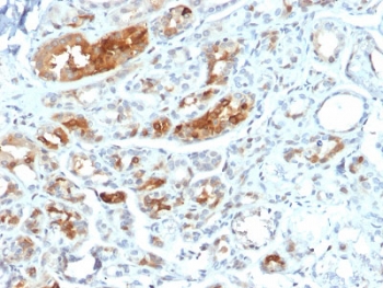
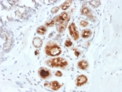
IHC testing of FFPE human breast carcinoma stained with Mammaglobin antibody (MGB/2000). Required HIER: boiling tissue sections in 10mM citrate buffer, pH6, for 10-20 min followed by cooling at RT for 20 min.
IHC testing of FFPE human breast carcinoma stained with Mammaglobin antibody (MGB/2000). Required HIER: boiling tissue sections in 10mM citrate buffer, pH6, for 10-20 min followed by cooling at RT for 20 min.
Western blot testing of human SK-BR-3 cell lysate (mammary gland tumor cell line) with Mammaglobin antibody (clone MGB/2000). Expected molecular weight: 10-21 kDa depending on level of glycosylation.
Analysis of HuProt(TM) microarray containing more than 19,000 full-length human proteins using Mammaglobin antibody (clone MGB/2000). These results demonstrate the foremost specificity of the MGB/2000 mAb.
Z- and S- score: The Z-score represents the strength of a signal that an antibody (in combination with a fluorescently-tagged anti-IgG secondary Ab) produces when binding to a particular protein on the HuProt(TM) array. Z-scores are described in units of standard deviations (SD's) above the mean value of all signals generated on that array. If the targets on the HuProt(TM) are arranged in descending order of the Z-score, the S-score is the difference (also in units of SD's) between the Z-scores. The S-score therefore represents the relative target specificity of an Ab to its intended target.
SDS-PAGE analysis of purified, BSA-free Mammaglobin antibody (clone MGB/2000) as confirmation of integrity and purity.
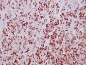
IHC testing of FFPE human breast adenocarcinoma stained with Mammaglobin antibody (MGB/2000). Required HIER: boil tissue sections in pH 9 10mM Tris with 1mM EDTA for 20 min and allow to cool before testing.
Availability 1-3 business days
Species Reactivity Human
Format Purified
Clonality Monoclonal (mouse origin)
Isotype Mouse IgG1, kappa
Clone Name MGB/2000
Purity Protein G affinity chromatography
UniProt Q13296
Localization Cytoplasmic, cell surface, nuclear
Applications Western Blot : 1-2ug/ml
Immunohistochemistry (FFPE) : 1-2ug/ml for 30 min at RT
Limitations This Mammaglobin antibody is available for research use only.
Review this product on BioCompare and get a $20 Amazon gift card

Related Products

Description

Mammaglobin, also called Secretoglobin family 2A member 2, or SCGB2A2, is a 93 amino acid glycoprotein with homology to other secretoglobin-uteroglobin family members. It was originally identified as a breast cancer restricted biomarker by differential screening. Mammaglobin related to secretoglobin family that includes human uteroglobin and lipophilin. Mammaglobin antibody stains cytoplasm of normal breast epithelial cells as well as primary and metastatic breast carcinomas. Mammaglobin expression is absent in prostate, kidney, colon, rectum, small intestine, stomach, pancreas, lung, and thyroid tissues. Mammaglobin may be used as part of an immunohistochemical panel for determination of metastatic breast carcinoma and tumor of unknown primary origin.

Application Notes

Optimal dilution of the Mammaglobin antibody should be determined by the researcher.

Immunogen

Full length recombinant human protein was used as the immunogen for the Mammaglobin antibody.

Storage

Store the Mammaglobin antibody at 2-8oC (with azide) or aliquot and store at -20oC or colder (without azide).

Cross
Bulk Quote Request Form
Name*:
Organization*:
Email*:
Phone Number*:
Catalog No.*:
Comments and Specifics(amount, formulation, etc.)*:
Validation code: Captchapackage Image


Can't read the image? click here to refresh.
    *required field

Your bulk quote request has been submitted successfully!

Please contact us if you have any questions.