• Tel: 858.663.9055
  • SeparatorEmail: info@nsjbio.com
  • Tel: 858.663.9055
  • Email: info@nsjbio.com
Home >> Antibodies >> MAML3 Antibody / Mastermind-like protein 3

MAML3 Antibody / Mastermind-like protein 3 (FY12374)

  Catalog No Formulation Size Price (USD)  
Image FY12374 Adding 0.2 ml of distilled water will yield a concentration of 500 ug/ml 100 ug 439
Bulk quote request
Immunofluorescent staining of MAML3 using anti-MAML3 antibody (green) and anti-Beta Tubulin antibody (red). MAML3 was detected in an immunocytochemical section of cells. Enzyme antigen retrieval was performed using IHC enzyme antigen retrieval reagent for 15 mins. The cells were blocked with 10% goat serum. And then incubated with 5 ug/ml rabbit anti-MAML3 antibody and mouse anti-Beta Tubulin antibody overnight at 4oC. DyLight 488 Conjugated Goat Anti-Rabbit IgG and Cy3 Conjugated Goat Anti-Mouse IgG were used as secondary antibody at 1:500 dilution and incubated for 30 minutes at 37oC. Visualize using a fluorescence microscope and filter sets appropriate for the label used.
Western blot analysis of MAML3 using anti-MAML3 antibody. Electrophoresis was performed on a 8% SDS-PAGE gel at 80V (Stacking gel) / 120V (Resolving gel) for 2 hours. Lane 1: human 293T whole cell lysates, Lane 2: human SH-SY5Y whole cell lysates, Lane 3: human RT4 whole cell lysates, Lane 4: human whole cell lysates. After electrophoresis, proteins were transferred to a nitrocellulose membrane at 150 mA for 50-90 minutes. Blocked the membrane with 5% non-fat milk/TBS for 1.5 hour at RT. The membrane was incubated with rabbit anti-MAML3 antibody at 0.5 ug/ml overnight at 4oC, then washed with TBS-0.1%Tween 3 times with 5 minutes each and probed with a goat anti-rabbit IgG-HRP secondary antibody at a dilution of 1:5000 for 1.5 hour at RT. The signal was developed using an ECL Plus Western Blotting Substrate. A specific band was detected for MAML3 at approximately 140-150 kDa. The expected molecular weight of MAML3 is ~122 kDa.
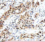
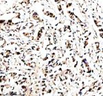
Immunohistochemical staining of MAML3 using anti-MAML3 antibody. MAML3 was detected in a paraffin-embedded section of human breast cancer tissue. Heat mediated antigen retrieval was performed in EDTA buffer (pH 8.0, epitope retrieval solution). The tissue section was blocked with 10% goat serum. The tissue section was then incubated with 2 ug/ml rabbit anti-MAML3 antibody overnight at 4oC. Peroxidase Conjugated Goat Anti-rabbit IgG was used as secondary antibody and incubated for 30 minutes at 37oC. The tissue section was developed using an HRP secondary and DAB substrate.
Immunofluorescent staining of MAML3 using anti-MAML3 antibody (red). MAML3 was detected in a paraffin-embedded section of human bladder cancer tissue. Heat mediated antigen retrieval was performed in EDTA buffer (pH 8.0, epitope retrieval solution). The tissue section was blocked with 10% goat serum. The tissue section was then incubated with 5 ug/ml rabbit anti-MAML3 antibody overnight at 4oC. Cy3 Conjugated Goat Anti-Rabbit IgG was used as secondary antibody at 1:500 dilution and incubated for 30 minutes at 37oC. The section was counterstained with DAPI nuclear stain (blue). Visualize using a fluorescence microscope and filter sets appropriate for the label used.
Immunofluorescent staining of MAML3 using anti-MAML3 antibody (red). MAML3 was detected in a paraffin-embedded section of human breast cancer tissue. Heat mediated antigen retrieval was performed in EDTA buffer (pH 8.0, epitope retrieval solution). The tissue section was blocked with 10% goat serum. The tissue section was then incubated with 5 ug/ml rabbit anti-MAML3 antibody overnight at 4oC. Cy3 Conjugated Goat Anti-Rabbit IgG was used as secondary antibody at 1:500 dilution and incubated for 30 minutes at 37oC. The section was counterstained with DAPI nuclear stain (blue). Visualize using a fluorescence microscope and filter sets appropriate for the label used.
Immunohistochemical staining of MAML3 using anti-MAML3 antibody. MAML3 was detected in a paraffin-embedded section of human bladder cancer tissue. Heat mediated antigen retrieval was performed in EDTA buffer (pH 8.0, epitope retrieval solution). The tissue section was blocked with 10% goat serum. The tissue section was then incubated with 2 ug/ml rabbit anti-MAML3 antibody overnight at 4oC. Peroxidase Conjugated Goat Anti-rabbit IgG was used as secondary antibody and incubated for 30 minutes at 37oC. The tissue section was developed using an HRP secondary and DAB substrate.
Flow Cytometry analysis of 293T cells using anti-MAML3 antibody. Overlay histogram showing 293T cells stained with (Blue line). To facilitate intracellular staining, cells were fixed with 4% paraformaldehyde and permeabilized with permeabilization buffer. The cells were blocked with 10% normal goat serum. And then incubated with rabbit anti-MAML3 antibody (1 ug/million cells) for 30 min at 20oC. DyLight 488 conjugated goat anti-rabbit IgG (5-10 ug/million cells) was used as secondary antibody for 30 minutes at 20oC. Isotype control antibody (Green line) was rabbit IgG (1 ug/million cells) used under the same conditions. Unlabelled sample without incubation with primary antibody and secondary antibody (Red line) was used as a blank control.
Availability 1-2 days
Species Reactivity Human
Format Lyophilized
Clonality Polyclonal (rabbit origin)
Isotype Rabbit IgG
Purity Immunogen affinity purified
Buffer Each vial contains 4 mg Trehalose, 0.9 mg NaCl, 0.2 mg Na2HPO4.
UniProt Q96JK9
Localization Nuclear speckles
Applications Western Blot : 0.25-0.5ug/ml
Immunohistochemistry : 2-5ug/ml
Immunofluorescence : 5ug/ml
Immunocytochemistry/Immunofluorescence : 5ug/ml
Flow Cytometry : 1-3ug/million cells
ELISA : 0.1-0.5ug/ml
Limitations This MAML3 antibody is available for research use only.
Review this product on BioCompare and get a $20 Amazon gift card

Related Products

Description

The MAML3 antibody targets Mastermind-like protein 3, a transcriptional coactivator encoded by the MAML3 gene. This protein is a member of the Mastermind-like family, which serves as a key nuclear coactivator in the Notch signaling pathway. Mastermind-like protein 3 interacts with the intracellular domain of Notch receptors and the transcription factor CSL (CBF1/RBPJ) to assemble transcriptional activation complexes that regulate cell fate decisions, proliferation, and differentiation. The MAML3 antibody provides researchers with a powerful tool for studying Notch-dependent transcriptional control and its roles in development and oncogenesis.

Mastermind-like protein 3 acts as a scaffold that stabilizes the Notch-CSL complex on target promoters, recruiting additional coactivators such as p300/CBP to initiate transcription. Its activation leads to expression of Notch target genes, including those involved in stem cell maintenance, neural development, and tumorigenesis. The MAML3 antibody supports studies aimed at elucidating these transcriptional networks by allowing detection and localization of MAML3 in nuclear extracts and tissue sections.

Chromosomal rearrangements involving MAML3 have been implicated in human cancers, notably biphenotypic sinonasal sarcoma and certain neuroendocrine tumors. The resulting fusion proteins, such as PAX3-MAML3, act as potent transcriptional activators driving oncogenic programs. The MAML3 antibody enables researchers to analyze wild-type and fusion variants, supporting investigations into the molecular mechanisms by which Mastermind-like protein 3 contributes to tumor development and aberrant Notch signaling.

Beyond its canonical Notch-related functions, Mastermind-like protein 3 participates in other signaling pathways, including Wnt and Hedgehog, where it modulates transcriptional responses through interactions with diverse transcription factors. The MAML3 antibody aids in identifying these alternative regulatory roles, helping to map MAML3-containing transcriptional complexes in various tissues and developmental stages. Expression analysis indicates enrichment of MAML3 in neural and mesenchymal lineages, consistent with its role in differentiation control.

NSJ Bioreagents provides the MAML3 antibody as a high-specificity reagent for western blotting, immunohistochemistry, and immunofluorescence. It consistently detects Mastermind-like protein 3 with strong nuclear localization. By enabling exploration of transcriptional coactivation mechanisms and Notch signaling regulation, the MAML3 antibody supports fundamental and translational research into cell fate determination, cancer, and developmental biology.

Application Notes

Optimal dilution of the MAML3 antibody should be determined by the researcher.

Immunogen

E.coli-derived human MAML3 recombinant protein (Position: H87-P1138) was used as the immunogen for the MAML3 antibody.

Storage

After reconstitution, the MAML3 antibody can be stored for up to one month at 4oC. For long-term, aliquot and store at -20oC. Avoid repeated freezing and thawing.

Cross
Bulk Quote Request Form
Name*:
Organization*:
Email*:
Phone Number*:
Catalog No.*:
Comments and Specifics(amount, formulation, etc.)*:
Validation code: Captchapackage Image


Can't read the image? click here to refresh.
    *required field

Your bulk quote request has been submitted successfully!

Please contact us if you have any questions.