• Tel: 858.663.9055
  • SeparatorEmail: info@nsjbio.com
  • Tel: 858.663.9055
  • Email: info@nsjbio.com
Home >> Antibodies >> Maltose Binding Protein Antibody / malE / MBP tag

Maltose Binding Protein Antibody / malE / MBP tag [clone BD-13] (RQ5300)

  Catalog No Formulation Size Price (USD)  
Image RQ5300 Antibody in PBS with 0.02% sodium azide, 50% glycerol and 0.4-0.5mg/ml BSA 100 ul 439
Microvalidated Rab Mono Image
Bulk quote request
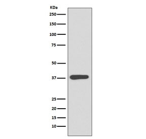
Western blot testing of E. coli lysate with Maltose Binding Protein antibody. Predicted molecular weight ~43 kDa.
Availability 1-2 weeks
Species Reactivity E. coli derived MBP
Format Purified
Clonality Rabbit Monoclonal
Isotype Rabbit IgG
Clone Name BD-13
Purity Affinity purified
UniProt P0AEX9
Applications Western Blot : 1:1000-1:5000
Limitations This Maltose Binding Protein antibody is available for research use only.
Review this product on BioCompare and get a $20 Amazon gift card

Related Products

Description

Part of the ABC transporter complex MalEFGK involved in maltose/maltodextrin import. Binds maltose and higher maltodextrins such as maltotriose. [UniProt]

Application Notes

Optimal dilution of the Maltose Binding Protein antibody should be determined by the researcher.

Immunogen

A synthetic peptide specific to E. coli Maltose Binding Protein / malE was used as the immunogen for the Maltose Binding Protein antibody.

Storage

Store the Maltose Binding Protein antibody at -20oC.

Cross
Bulk Quote Request Form
Name*:
Organization*:
Email*:
Phone Number*:
Catalog No.*:
Comments and Specifics(amount, formulation, etc.)*:
Validation code: Captchapackage Image


Can't read the image? click here to refresh.
    *required field

Your bulk quote request has been submitted successfully!

Please contact us if you have any questions.