• Tel: 858.663.9055
  • SeparatorEmail: info@nsjbio.com
  • Tel: 858.663.9055
  • Email: info@nsjbio.com
Home >> Antibodies >> Major Vault Protein Antibody / MVP

Major Vault Protein Antibody / MVP (F54845)

  Catalog No Formulation Size Price (USD)  
Image F54845-0.4ML In 1X PBS, pH 7.4, with 0.09% sodium azide 0.4 ml 429
Image
F54845-0.08ML In 1X PBS, pH 7.4, with 0.09% sodium azide 0.08 ml 199
Bulk quote request
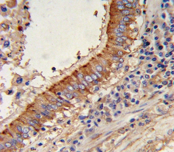
IHC testing of FFPE human lung carcinoma tissue with Major Vault Protein antibody. HIER: steam section in pH6 citrate buffer for 20 min and allow to cool prior to staining.
Western blot testing of 1) non-transfected and 2) transfected 293 cell lysate with Major Vault Protein antibody.
Western blot testing of human A375 cell lysate with Major Vault Protein antibody. Expected molecular weight: 104~110 kDa.
Flow cytometry testing of human NCI-H292 cells with Major Vault Protein antibody; Blue=isotype control, Green= Major Vault Protein antibody.
Availability 1-3 business days
Species Reactivity Human
Format Purified
Clonality Polyclonal (rabbit origin)
Isotype Rabbit Ig
Purity Purified
UniProt Q14764
Localization Cytoplasmic, nuclear
Applications Immunohistochemistry (FFPE) : 1:10-1:50
Flow Cytometry : 1:10-1:50 (1x10e6 cells)
Western Blot : 1:500-1:1000
Limitations This Major Vault Protein antibody is available for research use only.
Review this product on BioCompare and get a $20 Amazon gift card

Related Products

Description

MVP, the major vault protein, is a lung resistance-related protein. Vaults are multi-subunit structures that may be involved in nucleo-cytoplasmic transport. This protein mediates drug resistance, perhaps via a transport process. It is widely distributed in normal tissues, and overexpressed in multidrug-resistant cancer cells. The protein overexpression is a potentially useful marker of clinical drug resistance.

Application Notes

The stated application concentrations are suggested starting points. Titration of the Major Vault Protein antibody may be required due to differences in protocols and secondary/substrate sensitivity.

Immunogen

A portion of amino acids 863-893 from the human protein was used as the immunogen for the Major Vault Protein antibody.

Storage

Aliquot the Major Vault Protein antibody and store frozen at -20oC or colder. Avoid repeated freeze-thaw cycles.

Cross
Bulk Quote Request Form
Name*:
Organization*:
Email*:
Phone Number*:
Catalog No.*:
Comments and Specifics(amount, formulation, etc.)*:
Validation code: Captchapackage Image


Can't read the image? click here to refresh.
    *required field

Your bulk quote request has been submitted successfully!

Please contact us if you have any questions.