- Tel: 858.663.9055
- 
									 Email: info@nsjbio.com Email: info@nsjbio.com
- Tel: 858.663.9055
- Email: info@nsjbio.com
 Email: info@nsjbio.com
Email: info@nsjbio.com
								Related Products
| 
 | 
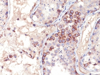
MAGE-1 antibody clone MA454 is a monoclonal antibody that detects melanoma-associated antigen 1, a tumor-associated protein encoded by the MAGEA1 gene. MAGE-1 belongs to the cancer-testis antigen family, normally restricted to germ cells of the testis and placenta but aberrantly expressed in melanomas and other cancers. NSJ Bioreagents provides this antibody for oncology, immunology, and tumor immunotherapy research.
The antibody produces strong nuclear and cytoplasmic staining in tumor tissues that express MAGE-1. In oncology, MAGE-1 antibody clone MA454 has been used extensively in studies of melanoma, where its expression correlates with disease progression and immune recognition. MAGE antigens are considered prime targets for immunotherapy because of their restricted normal tissue expression and tumor-specific reactivation.
In diagnostic pathology, MAGE-1 detection supports classification of melanomas and certain sarcomas. It provides an important marker for identifying tumors of germ cell and melanoma origin, complementing other immunohistochemical reagents in diagnostic panels.
In tumor immunology, MAGE-1 has been studied as a target antigen for cytotoxic T lymphocytes. The antibody has been applied in research exploring how tumors present MAGE-derived peptides via MHC class I molecules, enabling T cell-mediated recognition. This makes it central to vaccine development and adoptive T cell therapy studies.
Beyond melanoma, MAGE-1 expression has been observed in head and neck squamous cell carcinomas, lung cancers, and bladder carcinomas. This antibody supports research into how cancer-testis antigens contribute to oncogenesis and serve as targets for immunotherapy.
Validated in multiple tissue-based and cell-based assays, the antibody consistently produces specific staining with low background. Alternate names include melanoma antigen 1 antibody, cancer-testis antigen MAGEA1 antibody, and immunotherapy target MAGE-1 antibody.
The optimal dilution of the MAGE-1 antibody for each application should be determined by the researcher.
1. Staining of formalin-fixed tissues requires boiling tissue sections in 10mM citrate buffer, pH 6.0, for 10-20 min followed by cooling at RT for 20 minutes.
2. The prediluted format is supplied in a dropper bottle and is optimized for use in IHC. After epitope retrieval step (if required), drip mAb solution onto the tissue section and incubate at RT for 30 min.
Full length human protein was used as the immunogen for this MAGE-1 antibody.
Store the MAGE-1 antibody at 2-8oC (with azide) or aliquot and store at -20oC or colder (without azide).
 
Your bulk quote request has been submitted successfully!
Please contact us if you have any questions.