• Tel: 858.663.9055
  • SeparatorEmail: info@nsjbio.com
  • Tel: 858.663.9055
  • Email: info@nsjbio.com
Home >> Antibodies >> MAFA Antibody

MAFA Antibody (RQ5630)

  Catalog No Formulation Size Price (USD)  
Image RQ5630 0.5mg/ml if reconstituted with 0.2ml sterile DI water 100 ug 439
Bulk quote request
Immunofluorescent staining of FFPE human U-2 OS cells with MAFA antibody (red) and DAPI nuclear stain (blue). HIER: steam section in pH6 citrate buffer for 20 min.
IHC staining of FFPE human esophagus squama cancer with MAFA antibody. HIER: boil tissue sections in pH8 EDTA for 20 min and allow to cool before testing.
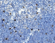
IHC staining of FFPE mouse thymus with MAFA antibody. HIER: boil tissue sections in pH8 EDTA for 20 min and allow to cool before testing.
Western blot testing of human 1) HEK293 and 2) K562 lysate with MAFA antibody. Expected molecular weight ~37 kDa.
Flow cytometry testing of human SiHa cells with MAFA antibody at 1ug/million cells (blocked with goat sera); Red=cells alone, Green=isotype control, Blue= MAFA antibody.
Availability 1-3 business days
Species Reactivity Human, Mouse
Format Antigen affinity purified
Clonality Polyclonal
Isotype Rabbit IgG
Purity Affinity purified
Buffer Lyophilized from 1X PBS with 2% Trehalose and 0.025% sodium azide
UniProt Q8NHW3
Localization Nuclear
Applications Western Blot : 0.5-1ug/ml
Immunohistochemistry : 1-2ug/ml
Immunofluorescence : 2-4ug/ml
Flow Cytometry : 1-3ug/million cells
Direct ELISA : 0.1-0.5ug/ml
Limitations This MAFA antibody is available for research use only.
Review this product on BioCompare and get a $20 Amazon gift card

Related Products

  • Applications : WB, ELISA
    Reactivity : Human
    Pred. Reactivity : Mouse
  • Applications : WB, ELISA
    Reactivity : Human
    Pred. Reactivity : Mouse
  • Applications : WB, ELISA
    Reactivity : Human, Mouse
  • Applications : WB
    Reactivity : Human, Rat

Description

MAFA is a transcription factor that binds RIPE3b, a conserved enhancer element that regulates pancreatic beta cell-specific expression of the insulin gene. It is mapped to 8q24.3.

Application Notes

Optimal dilution of the MAFA antibody should be determined by the researcher.

Immunogen

Recombinant human protein (amino acids A9-D308) was used as the immunogen for the MAFA antibody.

Storage

After reconstitution, the MAFA antibody can be stored for up to one month at 4oC. For long-term, aliquot and store at -20oC. Avoid repeated freezing and thawing.

Cross
Bulk Quote Request Form
Name*:
Organization*:
Email*:
Phone Number*:
Catalog No.*:
Comments and Specifics(amount, formulation, etc.)*:
Validation code: Captchapackage Image


Can't read the image? click here to refresh.
    *required field

Your bulk quote request has been submitted successfully!

Please contact us if you have any questions.