• Tel: 858.663.9055
  • SeparatorEmail: info@nsjbio.com
  • Tel: 858.663.9055
  • Email: info@nsjbio.com
Home >> Antibodies >> M6PR Antibody / IGF2R

M6PR Antibody / IGF2R (RQ4264)

  Catalog No Formulation Size Price (USD)  
Image RQ4264 0.5mg/ml if reconstituted with 0.2ml sterile DI water 100 ug 439
Bulk quote request
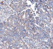
IHC testing of FFPE human lung cancer tissue with M6PR antibody. Required HIER: steam section in pH8 EDTA buffer for 20 min and allow to cool prior to staining.
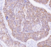
IHC testing of FFPE human ovarian cancer tissue with M6PR antibody. Required HIER: steam section in pH8 EDTA buffer for 20 min and allow to cool prior to staining.
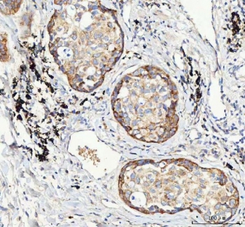
IHC testing of FFPE human esophageal squamous carcinoma tissue with M6PR antibody. Required HIER: steam section in pH8 EDTA buffer for 20 min and allow to cool prior to staining.
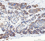
IHC testing of FFPE human liver cancer tissue with M6PR antibody. Required HIER: steam section in pH8 EDTA buffer for 20 min and allow to cool prior to staining.
Western blot testing of 1) human HeLa, 2) human U-87 MG, 3) human HepG2, 4) rat heart, 5) rat PC-12 and 6) mouse NIH 3T3 cell lysate with M6PR antibody. Expected molecular weight: 274-300 kDa.
Immunofluorescent staining of FFPE human A431 cells with M6PR antibody (green) and DAPI nuclear stain (blue). HIER: steam section in pH6 citrate buffer for 20 min.
Flow cytometry testing of fixed and permeabilized human HepG2 cells with M6PR antibody at 1ug/million cells (blocked with goat sera); Red=cells alone, Green=isotype control, Blue= M6PR antibody.
Availability 1-3 business days
Species Reactivity Human, Mouse, Rat
Format Antigen affinity purified
Clonality Polyclonal (rabbit origin)
Isotype Rabbit IgG
Purity Antigen affinity purified
Buffer Lyophilized from 1X PBS with 2% Trehalose
UniProt P11717
Localization Cytoplasm (lysosome membrane)
Applications Western Blot : 0.5-1ug/ml
Immunohistochemistry (FFPE) : 2-5ug/ml
Immunofluorescence (FFPE) : 5ug/ml
Flow Cytometry : 1-3ug/million cells
Direct ELISA : 0.1-0.5ug/ml
Limitations This M6PR antibody is available for research use only.
Review this product on BioCompare and get a $20 Amazon gift card

Related Products

Description

Insulin-like growth factor 2 receptor, also called IGF2R, I-MPR and M6PR (mannose 6-phosphate receptor) is a protein that in humans is encoded by the IGF2R gene. This gene is mapped to 6q25.3. This gene encodes a receptor for both insulin-like growth factor 2 and mannose 6-phosphate, although the binding sites for either are located on different segments of the receptor. This receptor functions in the intracellular trafficking of lysosomal enzymes, the activation of transforming growth factor beta, and the degradation of insulin-like growth factor 2. While the related mouse gene shows exclusive expression from the maternal allele, imprinting of the human gene appears to be polymorphic, with only a minority of individuals showing expression from the maternal allele.

Application Notes

Optimal dilution of the M6PR antibody should be determined by the researcher.

Immunogen

A recombinant human protein corresponding to amino acids F424-R529 was used as the immunogen for the M6PR antibody.

Storage

After reconstitution, the M6PR antibody can be stored for up to one month at 4oC. For long-term, aliquot and store at -20oC. Avoid repeated freezing and thawing.

Cross
Bulk Quote Request Form
Name*:
Organization*:
Email*:
Phone Number*:
Catalog No.*:
Comments and Specifics(amount, formulation, etc.)*:
Validation code: Captchapackage Image


Can't read the image? click here to refresh.
    *required field

Your bulk quote request has been submitted successfully!

Please contact us if you have any questions.