• Tel: 858.663.9055
  • SeparatorEmail: info@nsjbio.com
  • Tel: 858.663.9055
  • Email: info@nsjbio.com
Home >> Antibodies >> M6PR Antibody / IGF2R

M6PR Antibody / IGF2R [clone DIC-9] (RQ5375)

  Catalog No Formulation Size Price (USD)  
Image RQ5375 Antibody in PBS with 0.02% sodium azide, 50% glycerol and 0.4-0.5mg/ml BSA 100 ul 439
Microvalidated Rab Mono Image
Bulk quote request
Western blot testing of human Jurkat cell lysate with M6PR antibody. Predicted molecular weight ~274 kDa.
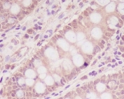
IHC staining of FFPE human colon with M6PR antibody. HIER: boil tissue sections in pH6, 10mM citrate buffer, for 10-20 min and allow to cool before testing.
Availability 1-2 weeks
Species Reactivity Human
Format Purified
Clonality Rabbit Monoclonal
Isotype Rabbit IgG
Clone Name DIC-9
Purity Affinity purified
UniProt P11717
Localization Cytoplasmic
Applications Western Blot : 1:1000-1:2000
Immunohistochemistry (FFPE) : 1:50-1:200
Limitations This M6PR antibody is available for research use only.
Review this product on BioCompare and get a $20 Amazon gift card

Related Products

Description

This gene encodes a receptor for both insulin-like growth factor 2 and mannose 6-phosphate. The binding sites for each ligand are located on different segments of the protein. This receptor has various functions, including in the intracellular trafficking of lysosomal enzymes, the activation of transforming growth factor beta, and the degradation of insulin-like growth factor 2. Mutation or loss of heterozygosity of this gene has been association with risk of hepatocellular carcinoma. [RefSeq]

Application Notes

Optimal dilution of the M6PR antibody should be determined by the researcher.

Immunogen

A synthetic peptide specific to human M6PR / IGF2R was used as the immunogen for the M6PR antibody.

Storage

Store the M6PR antibody at -20oC.

Cross
Bulk Quote Request Form
Name*:
Organization*:
Email*:
Phone Number*:
Catalog No.*:
Comments and Specifics(amount, formulation, etc.)*:
Validation code: Captchapackage Image


Can't read the image? click here to refresh.
    *required field

Your bulk quote request has been submitted successfully!

Please contact us if you have any questions.