• Tel: 858.663.9055
  • SeparatorEmail: info@nsjbio.com
  • Tel: 858.663.9055
  • Email: info@nsjbio.com
Home >> Antibodies >> M-CSF Antibody / Macrophage Colony Stimulating Factor 1 / CSF1

M-CSF Antibody / Macrophage Colony Stimulating Factor 1 / CSF1 (F54882)

  Catalog No Formulation Size Price (USD)  
Image F54882-0.4ML In 1X PBS, pH 7.4, with 0.09% sodium azide 0.4 ml 429
Image
F54882-0.08ML In 1X PBS, pH 7.4, with 0.09% sodium azide 0.08 ml 199
Bulk quote request
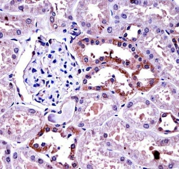
IHC testing of FFPE human kidney tissue with M-CSF antibody. HIER: steam section in pH6 citrate buffer for 20 min and allow to cool prior to staining.
Immunofluorescent staining of human MDA-MB-231 cells with M-CSF antibody (green) and DAPI nuclear stain (blue).
Flow cytometry testing of human HEK293 cells with M-CSF antibody; Blue=isotype control, Green= M-CSF antibody.
Availability 1-3 business days
Species Reactivity Human
Format Purified
Clonality Polyclonal (rabbit origin)
Isotype Rabbit Ig
Purity Purified
UniProt P09603
Localization Cytoplasmic, membrane
Applications Western Blot : 1:500-1:1000
Immunohistochemistry (FFPE) : 1:10-1:50
Immunofluorescence : 1:10-1:50
Flow Cytometry : 1:10-1:50 (1x10e6 cells)
Limitations This M-CSF antibody is available for research use only.
Review this product on BioCompare and get a $20 Amazon gift card

Related Products

Description

M-CSF is a cytokine that controls the production, differentiation, and function of macrophages. The active form of the protein is found extracellularly as a disulfide-linked homodimer, and is thought to be produced by proteolytic cleavage of membrane-bound precursors. This protein may be involved in development of the placenta.

Application Notes

The stated application concentrations are suggested starting points. Titration of the M-CSF antibody may be required due to differences in protocols and secondary/substrate sensitivity.

Immunogen

A portion of amino acids 230-257 from the human protein was used as the immunogen for the M-CSF antibody.

Storage

Aliquot the M-CSF antibody and store frozen at -20oC or colder. Avoid repeated freeze-thaw cycles.

Cross
Bulk Quote Request Form
Name*:
Organization*:
Email*:
Phone Number*:
Catalog No.*:
Comments and Specifics(amount, formulation, etc.)*:
Validation code: Captchapackage Image


Can't read the image? click here to refresh.
    *required field

Your bulk quote request has been submitted successfully!

Please contact us if you have any questions.