• Tel: 858.663.9055
  • SeparatorEmail: info@nsjbio.com
  • Tel: 858.663.9055
  • Email: info@nsjbio.com
Home >> Antibodies >> Lymphocyte Specific Protein 1 Antibody / LSP1

Lymphocyte Specific Protein 1 Antibody / LSP1 (F54824)

  Catalog No Formulation Size Price (USD)  
Image F54824-0.4ML In 1X PBS, pH 7.4, with 0.09% sodium azide 0.4 ml 429
Image
F54824-0.08ML In 1X PBS, pH 7.4, with 0.09% sodium azide 0.08 ml 199
Bulk quote request
Western blot testing of human 1) Daudi and 2) Ramos cell lysate with Lymphocyte Specific Protein 1 antibody. Predicted molecular weight: ~37 kDa but is routinely observed at ~52 kDa (PMID: 15684321).
Western blot testing of human MCF7 cell lysate with Lymphocyte Specific Protein 1 antibody. Predicted molecular weight: ~37 kDa but is routinely observed at ~52 kDa (PMID: 15684321).
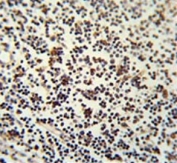
IHC testing of FFPE human lymph node tissue with Lymphocyte Specific Protein 1 antibody. HIER: steam section in pH6 citrate buffer for 20 min and allow to cool prior to staining.
Flow cytometry testing of human MCF7 cells with Lymphocyte Specific Protein 1 antibody; Blue=isotype control, Green= Lymphocyte Specific Protein 1 antibody.
Availability 1-3 business days
Species Reactivity Human
Format Purified
Clonality Polyclonal (rabbit origin)
Isotype Rabbit Ig
Purity Antigen affinity purified
UniProt P33241
Localization Cytoplasmic, membrane
Applications Flow Cytometry : 1:10-1:50 (1x10e6 cells)
Immunohistochemistry (FFPE) : 1:50-1:100
Western Blot : 1:2000-1:8000
Limitations This Lymphocyte Specific Protein 1 antibody is available for research use only.
Review this product on BioCompare and get a $20 Amazon gift card

Related Products

Description

LSP1 / Lymphocyte Specific Protein 1 is an intracellular F-actin binding protein. The protein is expressed in lymphocytes, neutrophils, macrophages, and endothelium and may regulate neutrophil motility, adhesion to fibrinogen matrix proteins, and transendothelial migration. Alternative splicing results in multiple transcript variants encoding different isoforms.

Application Notes

The stated application concentrations are suggested starting points. Titration of the Lymphocyte Specific Protein 1 antibody may be required due to differences in protocols and secondary/substrate sensitivity.

Immunogen

A portion of amino acids 108-134 from the human protein was used as the immunogen for the Lymphocyte Specific Protein 1 antibody.

Storage

Aliquot the Lymphocyte Specific Protein 1 antibody and store frozen at -20oC or colder. Avoid repeated freeze-thaw cycles.

Cross
Bulk Quote Request Form
Name*:
Organization*:
Email*:
Phone Number*:
Catalog No.*:
Comments and Specifics(amount, formulation, etc.)*:
Validation code: Captchapackage Image


Can't read the image? click here to refresh.
    *required field

Your bulk quote request has been submitted successfully!

Please contact us if you have any questions.