• Tel: 858.663.9055
  • SeparatorEmail: info@nsjbio.com
  • Tel: 858.663.9055
  • Email: info@nsjbio.com
Home >> Antibodies >> Lymphocyte activation gene 3 Antibody / LAG3 / CD223

Lymphocyte activation gene 3 Antibody / LAG3 / CD223 [clone LAG3/7380] (V4243)

  Catalog No Formulation Size Price (USD)  
Image V4243-100UG 0.2 mg/ml in 1X PBS with 0.1 mg/ml BSA (US sourced), 0.05% sodium azide 100 ug 539
Image
V4243-20UG 0.2 mg/ml in 1X PBS with 0.1 mg/ml BSA (US sourced), 0.05% sodium azide 20 ug 249
Image
V4243SAF-100UG 1 mg/ml in 1X PBS; BSA free, sodium azide free 100 ug 539
Bulk quote request
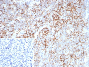
IHC staining of FFPE human tonsil tissue with LAG-3 antibody (clone LAG3/7380). Inset: PBS used in place of primary Ab (secondary Ab negative control). HIER: boil tissue sections in pH 9 10mM Tris with 1mM EDTA for 20 min and allow to cool before testing.
SDS-PAGE analysis of purified, BSA-free LAG-3 antibody (clone LAG3/7380) as confirmation of integrity and purity.
Availability 1-3 business days
Species Reactivity Human
Format Purified
Clonality Monoclonal (mouse origin)
Isotype Mouse IgG1, kappa
Clone Name LAG3/7380
Purity Protein A/G affinity
UniProt P18627
Localization Membrane
Applications Immunohistochemistry (FFPE) : 1-2ug/ml for 30 minutes at RT
Limitations This Lymphocyte activation gene 3 antibody is available for research use only.
Review this product on BioCompare and get a $20 Amazon gift card

Related Products

Description

LAG-3 (also called CD223) is a high affinity MHC class II ligand present on the surface of CD4+CD8+ T cells and NK cell, with shared homology in structure to CD4 molecules. It has a glutamic acid-proline (EP) repetitive sequence found in other functionally distinct mammalian, parasitic, and bacterial proteins that may influence a conserved biological function. LAG-3+CD4+CD8+ T cells can associate with the T cell receptor (TCR) and downregulate TCR signaling in vitro. LAG-3 inhibits CD4-dependent T cell function via its cytoplasmic domain. LAG-3 Lys-468 within a conserved KIEELE motif is essential for interaction with downstream signaling molecules. Furthermore, as a checkpoint inhibitor target, it may be superior to CTLA-4 and PD-1 since both antibodies only activate effector T-cells, whereas an antagonist LAG-3 antibody can both activate T effector cells (by downregulating the LAG-3 inhibiting signal into pre-activated LAG-3+ cells) and inhibit induced (i.e. antigen-specific) Treg suppressive activity.

Application Notes

Optimal dilution of the Lymphocyte activation gene 3 antibody should be determined by the researcher.

Immunogen

A recombinant partial protein sequence (within amino acids 300-500) from the human protein was used as the immunogen for the Lymphocyte activation gene 3 antibody.

Storage

Aliquot the Lymphocyte activation gene 3 antibody and store frozen at -20oC or colder. Avoid repeated freeze-thaw cycles.

Cross
Bulk Quote Request Form
Name*:
Organization*:
Email*:
Phone Number*:
Catalog No.*:
Comments and Specifics(amount, formulation, etc.)*:
Validation code: Captchapackage Image


Can't read the image? click here to refresh.
    *required field

Your bulk quote request has been submitted successfully!

Please contact us if you have any questions.