• Tel: 858.663.9055
  • SeparatorEmail: info@nsjbio.com
  • Tel: 858.663.9055
  • Email: info@nsjbio.com
Home >> Antibodies >> LY75/DEC-205 Antibody / CD205

LY75/DEC-205 Antibody / CD205 [clone CD205/3720] (V9671)

  Catalog No Formulation Size Price (USD)  
Image V9671-100UG 0.2 mg/ml in 1X PBS with 0.1 mg/ml BSA (US sourced), 0.05% sodium azide 100 ug 539
Image
V9671-20UG 0.2 mg/ml in 1X PBS with 0.1 mg/ml BSA (US sourced), 0.05% sodium azide 20 ug 249
Image
V9671SAF-100UG 1 mg/ml in 1X PBS; BSA free, sodium azide free 100 ug 539
Microvalidated
Bulk quote request
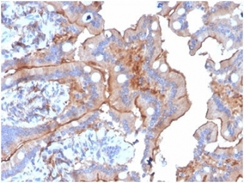
IHC staining of FFPE human colon tissue with LY75/DEC-205 antibody (clone CD205/3720). HIER: boil tissue sections in pH 9 10mM Tris with 1mM EDTA for 20 min and allow to cool before testing.
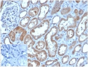
IHC staining of FFPE human kidney tissue with LY75/DEC-205 antibody (clone CD205/3720). Negative control inset: PBS instead of primary antibody to control for secondary binding. HIER: boil tissue sections in pH 9 10mM Tris with 1mM EDTA for 20 min and allow to cool before testing.
SDS-PAGE analysis of purified, BSA-free LY75/DEC-205 antibody (clone CD205/3720) as confirmation of integrity and purity.
Analysis of HuProt(TM) microarray containing more than 19,000 full-length human proteins using LY75/DEC-205 antibody (clone CD205/3720). These results demonstrate the foremost specificity of the CD205/3720 mAb. Z- and S- score: The Z-score represents the strength of a signal that an antibody (in combination with a fluorescently-tagged anti-IgG secondary Ab) produces when binding to a particular protein on the HuProt(TM) array. Z-scores are described in units of standard deviations (SD's) above the mean value of all signals generated on that array. If the targets on the HuProt(TM) are arranged in descending order of the Z-score, the S-score is the difference (also in units of SD's) between the Z-scores. The S-score therefore represents the relative target specificity of an Ab to its intended target.
Availability 1-3 business days
Species Reactivity Human
Format Purified
Clonality Monoclonal (mouse origin)
Isotype Mouse IgG2b, kappa
Clone Name CD205/3720
Purity Protein A/G affinity
UniProt O60449
Localization Cell surface
Applications Immunohistochemistry (FFPE) : 1-2ug/ml
Limitations This LY75/DEC-205 antibody is available for research use only.
Review this product on BioCompare and get a $20 Amazon gift card

Related Products

Description

DEC-205 (LY75, lymphocyte antigen 75, GP200-MR6) is a 1,695 residue (mature form) multi-lectin receptor that belongs to the MMR (macrophage mannose receptor) family of multidomain molecules. MMR family molecules mediate membrane receptor targeting to endosomes or lysosomes rich in major histocompatibility complex class II (MHC II) products. Expressed in mature dendritic cells (DC), DEC-205 contains an extracellular N-terminal cysteine-rich domain, a fibronectin type II domain, ten C-type carbohydrate recognition domains, a single transmembrane region and a small cytoplasmic C-terminal domain (31 amino acids) containing a tyrosine at 1679. DEC-205 elicits either an agonistic or antagonistic effect on IL-4 function, which is demonstrated by the ability of DEC-205 to imitate IL-4-induced maturation of epithelium or to inhibit IL-4-induced proliferation of T cells, respectively. Acts as an endocytic receptor to direct captured antigens from the extracellular space to a specialized antigen-processing compartment (By similarity). Causes reduced proliferation of B-lymphocytes.

Application Notes

Optimal dilution of the LY75/DEC-205 antibody should be determined by the researcher.

Immunogen

A portion of amino acids 1006-1130 was used as the immunogen for the LY75/DEC-205 antibody.

Storage

Aliquot the LY75/DEC-205 antibody and store frozen at -20oC or colder. Avoid repeated freeze-thaw cycles.

Cross
Bulk Quote Request Form
Name*:
Organization*:
Email*:
Phone Number*:
Catalog No.*:
Comments and Specifics(amount, formulation, etc.)*:
Validation code: Captchapackage Image


Can't read the image? click here to refresh.
    *required field

Your bulk quote request has been submitted successfully!

Please contact us if you have any questions.