• Tel: 858.663.9055
  • SeparatorEmail: info@nsjbio.com
  • Tel: 858.663.9055
  • Email: info@nsjbio.com
Home >> Antibodies >> Luteinizing Hormone Receptor Antibody / LH Receptor / hCG Receptor

Luteinizing Hormone Receptor Antibody / LH Receptor / hCG Receptor [clone LHCGR/7399] (V4891)

  Catalog No Formulation Size Price (USD)  
Image V4891-100UG 0.2 mg/ml in 1X PBS with 0.1 mg/ml BSA (US sourced), 0.05% sodium azide 100 ug 539
Image
V4891-20UG 0.2 mg/ml in 1X PBS with 0.1 mg/ml BSA (US sourced), 0.05% sodium azide 20 ug 249
Image
V4891SAF-100UG 1 mg/ml in 1X PBS; BSA free, sodium azide free 100 ug 539
Bulk quote request
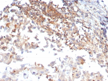
IHC staining of FFPE human ovarian carcinoma tissue with Luteinizing Hormone Receptor antibody (clone LHCGR/7399). HIER: boil tissue sections in pH 9 10mM Tris with 1mM EDTA for 20 min and allow to cool before testing.
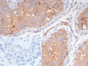
IHC staining of FFPE human testis tissue with Luteinizing Hormone Receptor antibody (clone LHCGR/7399). Inset: PBS used in place of primary Ab (secondary Ab negative control). HIER: boil tissue sections in pH 9 10mM Tris with 1mM EDTA for 20 min and allow to cool before testing.
SDS-PAGE analysis of purified, BSA-free Luteinizing Hormone Receptor antibody (clone LHCGR/7399) as confirmation of integrity and purity.
Availability 1-3 business days
Species Reactivity Human
Format Purified
Clonality Monoclonal (mouse origin)
Isotype Mouse IgG2, kappa
Clone Name LHCGR/7399
Purity Protein A/G affinity
UniProt P22888
Localization Cytoplasm, Cell surface
Applications Immunohistochemistry (FFPE) : 1-2ug/ml for 30 min at RT
Limitations This Luteinizing Hormone Receptor antibody is available for research use only.
Review this product on BioCompare and get a $20 Amazon gift card

Related Products

Description

Recognizes a protein of 78-85kDa, which is identified as Luteinizing hormone / choriogonadotropin receptor. Luteinizing hormone plays a role in spermatogenesis and ovulation by stimulating the testes and ovaries to produce steroids. Choriogonadotropin production in the placenta maintains estrogen and progesterone levels during the first trimester of pregnancy. Ovaries and testes abundantly express luteinizing hormone / choriogonadotropin receptor (LHCGR) as a seven transmembrane, G protein-coupled receptor glycoprotein. LHCGR influences the protective effect of pregnancy and Gonadotropin against breast cancer. The expression of LHCGR on breast carcinoma correlates in part to the degree of tumor differentiation. LHCGR -positive breast tumors occur more frequently in tumors with greater cell differentiation in premenopausal women.

Application Notes

Optimal dilution of the Luteinizing Hormone Receptor antibody should be determined by the researcher.

Immunogen

A recombinant partial protein sequence (within amino acids 100-300) from the human protein was used as the immunogen for the Luteinizing Hormone Receptor antibody.

Storage

Aliquot the Luteinizing Hormone Receptor antibody and store frozen at -20oC or colder. Avoid repeated freeze-thaw cycles.

Cross
Bulk Quote Request Form
Name*:
Organization*:
Email*:
Phone Number*:
Catalog No.*:
Comments and Specifics(amount, formulation, etc.)*:
Validation code: Captchapackage Image


Can't read the image? click here to refresh.
    *required field

Your bulk quote request has been submitted successfully!

Please contact us if you have any questions.