• Tel: 858.663.9055
  • SeparatorEmail: info@nsjbio.com
  • Tel: 858.663.9055
  • Email: info@nsjbio.com
Home >> Antibodies >> Luteinizing Hormone alpha Antibody / hCG alpha

Luteinizing Hormone alpha Antibody / hCG alpha [clone LHa/756] (V3277)

  Catalog No Formulation Size Price (USD)  
Image V3277-100UG 0.2 mg/ml in 1X PBS with 0.1 mg/ml BSA (US sourced) and 0.05% sodium azide 100 ug 539
Image
V3277-20UG 0.2 mg/ml in 1X PBS with 0.1 mg/ml BSA (US sourced) and 0.05% sodium azide 20 ug 249
Image
V3277SAF-100UG 1 mg/ml in 1X PBS; BSA free, sodium azide free 100 ug 539
Bulk quote request
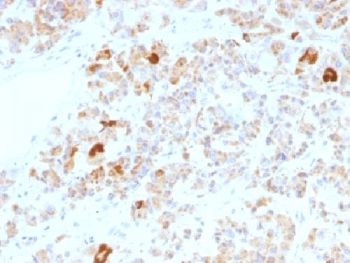
IHC testing of FFPE human pituitary gland stained with Luteinizing Hormone alpha antibody (clone LHa/756). No HIER required.
Availability 1-3 business days
Species Reactivity Human
Format Purified
Clonality Monoclonal (mouse origin)
Isotype Mouse IgG1, kappa
Clone Name LHa/756
Purity Protein G affinity chromatography
UniProt P01215
Localization Cytoplasmic, secreted
Applications Immunohistochemistry (FFPE) : 1-2ug/ml for 30 min at RT (HIER is not recommended for this antibody)
Limitations This Luteinizing Hormone alpha antibody is available for research use only.
Review this product on BioCompare and get a $20 Amazon gift card

Related Products

Description

This mAb reacts with a protein of ~13kDa, identified as alpha subunit of Luteinizing Hormone (LH) or Chorionic Gonadotrophin (CG). The protein dimer contains 2 polypeptide units, labeled alpha and beta subunits that are connected by two bridges. The alpha subunits of LH, FSH, TSH, and hCG are identical, and contain 92 amino acids. The beta subunits vary. LH has a beta subunit of 121 amino acids (LHB) that confers its specific biologic action and is responsible for interaction with the LH receptor. This beta subunit contains the same amino acids in sequence as the beta subunit of hCG and both stimulate the same receptor; however, the hCG beta subunit contains an additional 24 amino acids and the hormones differ in the composition of their sugar moieties. LH is synthesized and secreted by gonadotrophs in the anterior lobe of the pituitary gland. In concert with the other pituitary gonadotropin follicle-stimulating hormone (FSH), it is necessary for proper reproductive function. In the female, an acute rise of LH levels triggers ovulation. In the male, where LH has also been called Interstitial Cell-Stimulating Hormone (ICSH), it stimulates Leydig cell production of testosterone. LH is a useful marker in classification of pituitary tumors and the study of pituitary disease.

Application Notes

Optimal dilution of the Luteinizing Hormone alpha antibody should be determined by the researcher.

Immunogen

Recombinant full-length human LHa protein was used as the immunogen for the Luteinizing Hormone alpha antibody.

Storage

Store the Luteinizing Hormone alpha antibody at 2-8oC (with azide) or aliquot and store at -20oC or colder (without azide).

Cross
Bulk Quote Request Form
Name*:
Organization*:
Email*:
Phone Number*:
Catalog No.*:
Comments and Specifics(amount, formulation, etc.)*:
Validation code: Captchapackage Image


Can't read the image? click here to refresh.
    *required field

Your bulk quote request has been submitted successfully!

Please contact us if you have any questions.