• Tel: 858.663.9055
  • SeparatorEmail: info@nsjbio.com
  • Tel: 858.663.9055
  • Email: info@nsjbio.com
Home >> Antibodies >> LUM Antibody / Lumican

LUM Antibody / Lumican (RQ4587)

  Catalog No Formulation Size Price (USD)  
Image RQ4587 0.5mg/ml if reconstituted with 0.2ml sterile DI water 100 ug 439
Bulk quote request
Western blot testing of human 1) placenta, 2) Caco-2, 3) CCRF-CEM, 4) HeLa and 5) Jurkat lysate with LUM antibody at 0.5ug/ml. Expected moleculer weight: ~40 kDa (unmodified), ~60 kDa (glycosylated).
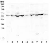
Western blot testing of mouse 1) liver, 2) ovary, 3) testis, 4) lung and rat 5) liver, 6) ovary, 7) testis, 8) lung and 9) heart lysate with LUM antibody at 0.5ug/ml. Expected moleculer weight: ~40 kDa (unmodified), ~60 kDa (glycosylated).
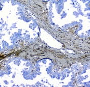
IHC staining of FFPE human placenta with LUM antibody at 1ug/ml. HIER: boil tissue sections in pH6, 10mM citrate buffer, for 10-20 min followed by cooling at RT for 20 min.
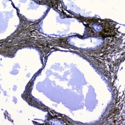
IHC staining of FFPE human ovarian cancer with LUM antibody at 1ug/ml. HIER: boil tissue sections in pH6, 10mM citrate buffer, for 10-20 min followed by cooling at RT for 20 min.
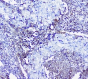
IHC staining of FFPE human pancreatic cancer with LUM antibody at 1ug/ml. HIER: boil tissue sections in pH6, 10mM citrate buffer, for 10-20 min followed by cooling at RT for 20 min.
IHC staining of FFPE human lung cancer with LUM antibody at 1ug/ml. HIER: boil tissue sections in pH6, 10mM citrate buffer, for 10-20 min followed by cooling at RT for 20 min.
Availability 1-3 business days
Species Reactivity Human, Mouse, Rat
Format Antigen affinity purified
Clonality Polyclonal (rabbit origin)
Isotype Rabbit IgG
Purity Antigen affinity purified
Buffer Lyophilized from 1X PBS with 2% Trehalose and 0.025% sodium azide
UniProt P51884
Localization Secreted, cytoplasmic
Applications Western Blot : 0.5-1ug/ml
IHC (FFPE) : 1-2ug/ml
Direct ELISA : 0.1-0.5ug/ml (recombinant human protein)
Limitations This LUM antibody is available for research use only.
Review this product on BioCompare and get a $20 Amazon gift card

Related Products

  • Applications : WB, IHC-P, FACS, ELISA
    Reactivity : Human, Mouse, Rat

Description

Lumican, also known as LUM, is an extracellular matrix protein that, in humans, is encoded by the LUM gene on chromosome 12. Lumican is a major keratan sulfate proteoglycan of the cornea but is ubiquitously distributed in most mesenchymal tissues throughout the body. And Lumican is involved in collagen fibril organization and circumferential growth, corneal transparency, and epithelial cell migration and tissue repair. Corneal transparency is possible due to the exact alignment of collagen fibers by lumican (and keratocan) in the intrafibrillar space.

Application Notes

Optimal dilution of the LUM antibody should be determined by the researcher.

Immunogen

Amino acids A50-N338 from the human protein were used as the immunogen for the LUM antibody.

Storage

After reconstitution, the LUM antibody can be stored for up to one month at 4oC. For long-term, aliquot and store at -20oC. Avoid repeated freezing and thawing.

Cross
Bulk Quote Request Form
Name*:
Organization*:
Email*:
Phone Number*:
Catalog No.*:
Comments and Specifics(amount, formulation, etc.)*:
Validation code: Captchapackage Image


Can't read the image? click here to refresh.
    *required field

Your bulk quote request has been submitted successfully!

Please contact us if you have any questions.