• Tel: 858.663.9055
  • SeparatorEmail: info@nsjbio.com
  • Tel: 858.663.9055
  • Email: info@nsjbio.com
Home >> Antibodies >> LTBR Antibody / Lymphotoxin beta Receptor

LTBR Antibody / Lymphotoxin beta Receptor (R31074)

  Catalog No Formulation Size Price (USD)  
Image R31074 0.5mg/ml if reconstituted with 0.2ml sterile DI water 100 ug 439
Bulk quote request
Western blot testing of LTBR antibody and Lane 1: HeLa; 2: A549; Observed size: 45~60KD depending on glycosylation level
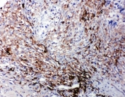
IHC-P: LTBR antibody testing of human intestinal cancer tissue
Availability 1-3 business days
Species Reactivity Human
Format Antigen affinity purified
Clonality Polyclonal (rabbit origin)
Isotype Rabbit IgG
Purity Antigen affinity
Buffer Lyophilized from 1X PBS with 2.5% BSA and 0.025% sodium azide/thimerosal
UniProt P36941
Applications Western Blot : 0.5-1ug/ml
IHC (FFPE) : 0.5-1ug/ml
Limitations This LTBR antibody is available for research use only.
Review this product on BioCompare and get a $20 Amazon gift card

Related Products

Description

Lymphotoxin B Receptor, also called TNFCR or LT-BETA-R, is a receptor for lymphotoxin which in humans is encoded by the LTBR gene. By linkage analysis with recombinant inbred mouse strains, Nakamura et al.(1995) demonstrated that the Tnfcr locus is close to the Tnfr1 gene on mouse chromosome 6. Presumably, the human homolog is located on 12p13. Silva-Santos et al.(2005) reported that double-positive T cells regulate the differentiation of early thymocyte progenitors and gamma-delta cells by a mechanism dependent on the transcription factor ROR-gamma-t and LTBR. Lo et al.(2007) identified lymphotoxin and LIGHT (TNFSF14), tumor necrosis factor cytokine family members that are primarily expressed on lymphocytes, as critical regulators of key enzymes that control lipid metabolism.

Application Notes

The stated application concentrations are suggested starting amounts. Titration of the LTBR antibody may be required due to differences in protocols and secondary/substrate sensitivity.

Immunogen

An amino acid sequence from the C-terminus of human Lymphotoxin B Receptor (ATPSNRGPRNQFITHD) was used as the immunogen for this LTBR antibody.

Storage

After reconstitution, the LTBR antibody can be stored for up to one month at 4oC. For long-term, aliquot and store at -20oC. Avoid repeated freezing and thawing.

Cross
Bulk Quote Request Form
Name*:
Organization*:
Email*:
Phone Number*:
Catalog No.*:
Comments and Specifics(amount, formulation, etc.)*:
Validation code: Captchapackage Image


Can't read the image? click here to refresh.
    *required field

Your bulk quote request has been submitted successfully!

Please contact us if you have any questions.