• Tel: 858.663.9055
  • SeparatorEmail: info@nsjbio.com
  • Tel: 858.663.9055
  • Email: info@nsjbio.com
Home >> Antibodies >> LSP1 Antibody / Lymphocyte Specific Protein 1

LSP1 Antibody / Lymphocyte Specific Protein 1 [clone LSP1/3025] (V7928)

  Catalog No Formulation Size Price (USD)  
Image V7928-100UG 0.2 mg/ml in 1X PBS with 0.1 mg/ml BSA (US sourced) and 0.05% sodium azide 100 ug 539
Image
V7928-20UG 0.2 mg/ml in 1X PBS with 0.1 mg/ml BSA (US sourced) and 0.05% sodium azide 20 ug 249
Image
V7928SAF-100UG 1 mg/ml in 1X PBS; BSA free, sodium azide free 100 ug 539
Microvalidated
Bulk quote request
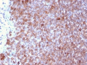
IHC staining of FFPE human lymphoma with LSP1 antibody. HIER: boil tissue sections in pH 9 10mM Tris with 1mM EDTA for 20 min and allow to cool before testing.
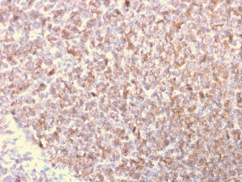
IHC staining of FFPE human lymph node with LSP1 antibody. HIER: boil tissue sections in pH 9 10mM Tris with 1mM EDTA for 20 min and allow to cool before testing.
Analysis of HuProt(TM) microarray containing more than 19,000 full-length human proteins using LSP1 antibody (clone LSP1/3025). These results demonstrate the foremost specificity of the LSP1/3025 mAb. Z- and S- score: The Z-score represents the strength of a signal that an antibody (in combination with a fluorescently-tagged anti-IgG secondary Ab) produces when binding to a particular protein on the HuProt(TM) array. Z-scores are described in units of standard deviations (SD's) above the mean value of all signals generated on that array. If the targets on the HuProt(TM) are arranged in descending order of the Z-score, the S-score is the difference (also in units of SD's) between the Z-scores. The S-score therefore represents the relative target specificity of an Ab to its intended target.
SDS-PAGE analysis of purified, BSA-free LSP1 antibody as confirmation of integrity and purity.
Availability 1-3 business days
Species Reactivity Human
Format Purified
Clonality Monoclonal (mouse origin)
Isotype Mouse IgG1, kappa
Clone Name LSP1/3025
Purity Protein G affinity chromatography
UniProt P33241
Localization Cytoplasmic, membranous
Applications Immunohistochemistry (FFPE) : 1-2ug/ml
Limitations This LSP1 antibody is available for research use only.
Review this product on BioCompare and get a $20 Amazon gift card

Related Products

Description

LSP1 is a hematopoietic-expressed gene that encodes an F-actin-binding, leukocyte-specific (including B and T lymphocytes, granulocytes and macrophages), phosphoprotein. However, mRNA splice variants that do not encode the lympho-specific protein are expressed from this gene in nonlymphoid cell lines as well (myocytes, stromal cells and fibroblasts), suggesting pp52 has a divergent role in signal transduction. The pp52 (LSP1) locus maps to human chromosome 11p15.5, which is implicated in tumor-related chromosomal translocations found in chronic lymphocytic leukemia. The pp52 promoter contains key elements that control transcriptional activity including an initiator specifying the unique 5' terminus of pp52 mRNA, tandem pairs of Ets and SP1 motifs, and a single C/EBP motif. LSP1 binds the cytoskeleton and has been implicated in affecting cytoskeletal remodeling in a variety of leukocyte functions, including cell motility and chemotaxis.

Application Notes

Optimal dilution of the LSP1 antibody should be determined by the researcher.

Immunogen

A recombinant human partial protein (amino acids 174-278) was used as the immunogen for this LSP1 antibody.

Storage

Store the LSP1 antibody at 2-8oC (with azide) or aliquot and store at -20oC or colder (without azide).

Cross
Bulk Quote Request Form
Name*:
Organization*:
Email*:
Phone Number*:
Catalog No.*:
Comments and Specifics(amount, formulation, etc.)*:
Validation code: Captchapackage Image


Can't read the image? click here to refresh.
    *required field

Your bulk quote request has been submitted successfully!

Please contact us if you have any questions.