• Tel: 858.663.9055
  • SeparatorEmail: info@nsjbio.com
  • Tel: 858.663.9055
  • Email: info@nsjbio.com
Home >> Antibodies >> LSM8 Antibody

LSM8 Antibody [clone 6B11] (RQ6586)

  Catalog No Formulation Size Price (USD)  
Image RQ6586 0.5mg/ml if reconstituted with 0.2ml sterile DI water 100 ug 439
Bulk quote request
Immunofluorescent staining of FFPE human HeLa cells with LSM8 antibody (green) and DAPI nuclear stain (blue). HIER: steam section in pH6 citrate buffer for 20 min.
IHC staining of FFPE human renal clear cell carcinoma tissue with LSM8 antibody. HIER: boil tissue sections in pH8 EDTA for 20 min and allow to cool before testing.
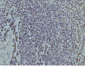
IHC staining of FFPE human spleen tissue with LSM8 antibody. HIER: boil tissue sections in pH8 EDTA for 20 min and allow to cool before testing.
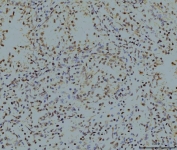
IHC staining of FFPE human placental tissue with LSM8 antibody. HIER: boil tissue sections in pH8 EDTA for 20 min and allow to cool before testing.
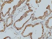
IHC staining of FFPE human colonic adenocarcinoma tissue with LSM8 antibody. HIER: boil tissue sections in pH8 EDTA for 20 min and allow to cool before testing.
Western blot testing of 1) human HL60, 2) human Jurkat, 3) human ThP-1, 4) human K562, 5) rat testis, 6) rat pancreas, 7) mouse testis and 8) mouse pancreas tissue lysate with LSM8 antibody. Predicted molecular weight ~11 kDa.
Flow cytometry testing of rat RH35 cells with LSM8 antibody at 1ug/million cells (blocked with goat sera); Red=cells alone, Green=isotype control, Blue= LSM8 antibody.
Flow cytometry testing of mouse RAW264.7 cells with LSM8 antibody at 1ug/million cells (blocked with goat sera); Red=cells alone, Green=isotype control, Blue= LSM8 antibody.
Flow cytometry testing of human JK-1 cells with LSM8 antibody at 1ug/million cells (blocked with goat sera); Red=cells alone, Green=isotype control, Blue= LSM8 antibody.
Availability 1-3 business days
Species Reactivity Human, Mouse, Rat
Format Antigen affinity purified
Clonality Monoclonal (mouse origin)
Isotype Mouse IgG2a
Clone Name 6B11
Purity Antigen affinity purified
Buffer Lyophilized from 1X PBS with 2% Trehalose
UniProt O95777
Localization Nuclear
Applications Western Blot : 1-2ug/ml
Immunohistochemistry (FFPE) : 2-5ug/ml
Immunofluorescence (FFPE) : 5ug/ml
Flow Cytometry : 1-3ug/million cells
Limitations This LSM8 antibody is available for research use only.
Review this product on BioCompare and get a $20 Amazon gift card

Related Products

  • Applications : WB, IHC-P, IF, FACS, Direct ELISA
    Reactivity : Human, Mouse, Rat

Description

U6 snRNA-associated Sm-like protein LSm8 is a protein that in humans is encoded by the LSM8 gene. This gene encodes a member of the like-Sm family of proteins. The encoded protein consists of a closed barrel shape, made up of five anti-parallel beta strands and an alpha helix. This protein partners with six paralogs to form a heteroheptameric ring which transiently binds U6 small nuclear RNAs and is involved in the general maturation of RNA in the nucleus.

Application Notes

Optimal dilution of the LSM8 antibody should be determined by the researcher.

Immunogen

Recombinant human protein (amino acids M1-H96) was used as the immunogen for the LSM8 antibody.

Storage

After reconstitution, the LSM8 antibody can be stored for up to one month at 4oC. For long-term, aliquot and store at -20oC. Avoid repeated freezing and thawing.

Cross
Bulk Quote Request Form
Name*:
Organization*:
Email*:
Phone Number*:
Catalog No.*:
Comments and Specifics(amount, formulation, etc.)*:
Validation code: Captchapackage Image


Can't read the image? click here to refresh.
    *required field

Your bulk quote request has been submitted successfully!

Please contact us if you have any questions.