• Tel: 858.663.9055
  • SeparatorEmail: info@nsjbio.com
  • Tel: 858.663.9055
  • Email: info@nsjbio.com
Home >> Antibodies >> LRRK2 Antibody

LRRK2 Antibody (F50111)

  Catalog No Formulation Size Price (USD)  
Image F50111-0.4ML In 1X PBS, pH 7.4, with 0.09% sodium azide 0.4 ml 429
Image
F50111-0.08ML In 1X PBS, pH 7.4, with 0.09% sodium azide 0.08 ml 199
Bulk quote request
LRRK2 antibody detect over-expressed human LRRK2 protein.
Western blot analysis of LRRK2 antibody: (A) 293 cells transiently transfected with the PARK8/LRRK2 gene; (B) mouse brain.
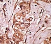
IHC analysis of FFPE human breast carcinoma tissue stained with the LRRK2 antibody
Availability 1-3 business days
Species Reactivity Human
Format Purified
Clonality Polyclonal (rabbit origin)
Isotype Rabbit Ig
Purity Purified
UniProt Q5S007
Applications Western Blot : 1:1000
IHC (Paraffin) : 1:50-1:100
Limitations This LRRK2 antibody is available for research use only.
Review this product on BioCompare and get a $20 Amazon gift card

Related Products

Description

LRRK2 may be central to the pathogenesis of several major neurodegenerative disorders associated with parkinsonism. It belongs to the ROCO protein family and includes a protein kinase domain of the MAPKKK class and several other major functional domains.

Application Notes

Titration of the LRRK2 antibody may be required due to differences in protocols and secondary/substrate sensitivity.

Immunogen

A portion of amino acids 931-962 from the human protein was used as the immunogen for this LRRK2 antibody.

Storage

Aliquot the LRRK2 antibody and store frozen at -20oC or colder. Avoid repeated freeze-thaw cycles.

Cross
Bulk Quote Request Form
Name*:
Organization*:
Email*:
Phone Number*:
Catalog No.*:
Comments and Specifics(amount, formulation, etc.)*:
Validation code: Captchapackage Image


Can't read the image? click here to refresh.
    *required field

Your bulk quote request has been submitted successfully!

Please contact us if you have any questions.