• Tel: 858.663.9055
  • SeparatorEmail: info@nsjbio.com
  • Tel: 858.663.9055
  • Email: info@nsjbio.com
Home >> Antibodies >> LRP6 Antibody

LRP6 Antibody (F49462)

  Catalog No Formulation Size Price (USD)  
Image F49462-0.4ML In 1X PBS, pH 7.4, with 0.09% sodium azide 0.4 ml 429
Image
F49462-0.08ML In 1X PBS, pH 7.4, with 0.09% sodium azide 0.08 ml 199
Bulk quote request
Western blot analysis of LRP6 antibody and 293 cell lysate either nontransfected or transiently transfected with the LRP6 gene.
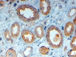
IHC analysis of FFPE human breast carcinoma tissue stained with LRP6 antibody
Availability 1-3 business days
Species Reactivity Human
Format Purified
Clonality Polyclonal (rabbit origin)
Isotype Rabbit Ig
Purity Purified
UniProt O75581
Applications Western Blot : 1:1000
IHC (Paraffin) : 1:10-1:50
Limitations This LRP6 antibody is available for research use only.
Review this product on BioCompare and get a $20 Amazon gift card

Related Products

  • Applications : IHC, ELISA (peptide)
    Reactivity : Human
    Pred. Reactivity : Dog, Mouse, Rat

Description

LRP6 is essential for the Wnt/beta catenin signaling pathway, probably by acting as a coreceptor together with Frizzled for Wnt. It is a specific, high-affinity receptor for DKK1 and DKK2, but not DKK3. The interaction with DKK1 blocks LRP6-mediated Wnt/beta catenin signaling via LRP6 removal via Kremen proteins-mediated endocytosis.

Application Notes

Titration of the LRP6 antibody may be required due to differences in protocols and secondary/substrate sensitivity.

Immunogen

A portion of amino acids 1531-1560 from the human protein was used as the immunogen for this LRP6 antibody.

Storage

Aliquot the LRP6 antibody and store frozen at -20oC or colder. Avoid repeated freeze-thaw cycles.

Cross
Bulk Quote Request Form
Name*:
Organization*:
Email*:
Phone Number*:
Catalog No.*:
Comments and Specifics(amount, formulation, etc.)*:
Validation code: Captchapackage Image


Can't read the image? click here to refresh.
    *required field

Your bulk quote request has been submitted successfully!

Please contact us if you have any questions.