• Tel: 858.663.9055
  • SeparatorEmail: info@nsjbio.com
  • Tel: 858.663.9055
  • Email: info@nsjbio.com
Home >> Antibodies >> LRIT3 Antibody

LRIT3 Antibody (RQ8551)

  Catalog No Formulation Size Price (USD)  
Image RQ8551 0.5mg/ml if reconstituted with 0.2ml sterile DI water 100 ug 439
Bulk quote request
Immunofluorescent staining of FFPE human U-2 OS cells with LRIT3 antibody (red) and Beta Tubulin mAb (green). HIER: steam section in pH6 citrate buffer for 20 min.
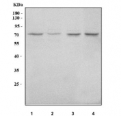
Western blot testing of 1) human 293T, 2) human Jurkat, 3) rat kidney and 4) mouse kidney tissue lysate with LRIT3 antibody. Predicted molecular weight ~75 kDa but may be observed at higher molecular weights due to glycosylation.
Availability 1-3 days
Species Reactivity Human, Mouse, Rat
Format Antigen affinity purified
Clonality Polyclonal (rabbit origin)
Isotype Rabbit IgG
Purity Antigen affinity purified
Buffer Lyophilized from 1X PBS with 2% Trehalose
UniProt Q3SXY7
Localization Cytoplasm
Applications Western Blot : 0.5-1ug/ml
Immunofluorescence : 5ug/ml
ELISA : 0.1-0.5ug/ml
Limitations This LRIT3 antibody is available for research use only.
Review this product on BioCompare and get a $20 Amazon gift card

Description

Leucine-rich repeat, immunoglobulin-like and transmembrane domains 3 is a protein that in humans is encoded by the LRIT3 gene. This gene encodes a protein that has a fibronectin type III domain and a C-terminal transmembrane domain, as well as a leucine-rich repeat domain and immunoglobulin-like domain near the N-terminus. The encoded protein may regulate fibroblast growth factor receptors and affect the modification of these receptors, which are glycosylated differently in the Golgi and endoplasmic reticulum. Mutations in this gene are associated with congenital stationary night blindness, type 1F.

Application Notes

Optimal dilution of the LRIT3 antibody should be determined by the researcher.

Immunogen

An E.coli-derived human recombinant protein (amino acids E50-R573) was used as the immunogen for the LRIT3 antibody.

Storage

After reconstitution, the LRIT3 antibody can be stored for up to one month at 4oC. For long-term, aliquot and store at -20oC. Avoid repeated freezing and thawing.

Cross
Bulk Quote Request Form
Name*:
Organization*:
Email*:
Phone Number*:
Catalog No.*:
Comments and Specifics(amount, formulation, etc.)*:
Validation code: Captchapackage Image


Can't read the image? click here to refresh.
    *required field

Your bulk quote request has been submitted successfully!

Please contact us if you have any questions.