• Tel: 858.663.9055
  • SeparatorEmail: info@nsjbio.com
  • Tel: 858.663.9055
  • Email: info@nsjbio.com
Home >> Antibodies >> LRH1 Antibody / NR5A2

LRH1 Antibody / NR5A2 [clone PCRP-NR5A2-1B8] (V4787)

  Catalog No Formulation Size Price (USD)  
Image V4787-100UG 0.2 mg/ml in 1X PBS with 0.1 mg/ml BSA (US sourced), 0.05% sodium azide 100 ug 539
Image
V4787-20UG 0.2 mg/ml in 1X PBS with 0.1 mg/ml BSA (US sourced), 0.05% sodium azide 20 ug 249
Image
V4787SAF-100UG 1 mg/ml in 1X PBS; BSA free, sodium azide free 100 ug 539
Microvalidated
Bulk quote request
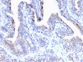
IHC staining of FFPE human prostate cancer tissue with NR5A2 antibody (clone PCRP-NR5A2-1B8). HIER: boil tissue sections in pH 9 10mM Tris with 1mM EDTA for 20 min and allow to cool before testing.
Flow cytometry testing of PFA-fixed human HeLa cells with NR5A2 antibody (clone PCRP-NR5A2-1B8) followed by goat anti-mouse IgG-CF488 (blue); Red = unstained cells.
Analysis of a HuProt(TM) microarray containing more than 19,000 full-length human proteins using NR5A2 antibody (clone PCRP-NR5A2-1B8). Z- and S- Score: The Z-score represents the strength of a signal that a monoclonal antibody (in combination with a fluorescently-tagged anti-IgG secondary antibody) produces when binding to a particular protein on the HuProt(TM) array. Z-scores are described in units of standard deviations (SD's) above the mean value of all signals generated on that array. If targets on HuProt(TM) are arranged in descending order of the Z-score, the S-score is the difference (also in units of SD's) between the Z-score. S-score therefore represents the relative target specificity of a mAb to its intended target. A mAb is considered to specific to its intended target, if the mAb has an S-score of at least 2.5. For example, if a mAb binds to protein X with a Z-score of 43 and to protein Y with a Z-score of 14, then the S-score for the binding of that mAb to protein X is equal to 29.
SDS-PAGE analysis of purified, BSA-free NR5A2 antibody (clone PCRP-NR5A2-1B8) as confirmation of integrity and purity.
Availability 1-3 business days
Species Reactivity Human
Format Purified
Clonality Monoclonal (mouse origin)
Isotype Mouse IgG2b
Clone Name PCRP-NR5A2-1B8
Purity Protein A/G affinity
UniProt O00482
Localization Nucleus
Applications Flow Cytometry : 1-2ug/million cells
Immunohistochemistry (FFPE) : 1-2ug/ml for 30 min at RT
Limitations This NR5A2 antibody is available for research use only.
Review this product on BioCompare and get a $20 Amazon gift card

Related Products

  • Applications : WB
    Reactivity : Human
    Rab Mono Image
  • Applications : WB
    Reactivity : Human
  • Applications : WB, ELISA (peptide)
    Reactivity : Human
    Pred. Reactivity : Cow, Dog, Mouse, Pig, Rat
  • Applications : WB, ELISA (peptide)
    Reactivity : Human
  • Applications : WB, IHC-P, FACS, Direct ELISA
    Reactivity : Human

Description

NR5A2 (nuclear receptor subfamily 5, group A, member 2), also designated B1-binding factor (B1F or B1F2), CYP7A promoter-binding factor (CPF), fetoprotein-a 1 (AFP) transcription factor (FTF, FTZ-F1 or FTZ-F1b) and liver receptor homolog 1 (LRH-1), is a pre-adipocyte-specific nuclear receptor that regulates expression of aromatase in adipose tissue. NR5A2 belongs to the fushi tarazu factor-1 subfamily of orphan nuclear receptors. NR5A2 transcripts are abundant in the human ovary and testis and are predominantly expressed in tissues of endodermal origin. NR5A2 is a positive transcription factor for ABCG5 and ABCG8 and regulates genes involved in sterol and bile acid secretion from liver and intestine. It induces cell proliferation through the concomitant induction of cyclin D1 and E1, an effect that is potentiated by its interaction with b-catenin.

Application Notes

Optimal dilution of the NR5A2 antibody should be determined by the researcher.

Immunogen

Recombinant human NR5A2 protein was used as the immunogen for the NR5A2 antibody.

Storage

Aliquot the NR5A2 antibody and store frozen at -20oC or colder. Avoid repeated freeze-thaw cycles.

Cross
Bulk Quote Request Form
Name*:
Organization*:
Email*:
Phone Number*:
Catalog No.*:
Comments and Specifics(amount, formulation, etc.)*:
Validation code: Captchapackage Image


Can't read the image? click here to refresh.
    *required field

Your bulk quote request has been submitted successfully!

Please contact us if you have any questions.