• Tel: 858.663.9055
  • SeparatorEmail: info@nsjbio.com
  • Tel: 858.663.9055
  • Email: info@nsjbio.com
Home >> Antibodies >> LRG1 Antibody / Leucine-rich alpha-2-glycoprotein

LRG1 Antibody / Leucine-rich alpha-2-glycoprotein [clone LRG1/4882] (V9588)

  Catalog No Formulation Size Price (USD)  
Image V9588-100UG 0.2 mg/ml in 1X PBS with 0.1 mg/ml BSA (US sourced), 0.05% sodium azide 100 ug 539
Image
V9588-20UG 0.2 mg/ml in 1X PBS with 0.1 mg/ml BSA (US sourced), 0.05% sodium azide 20 ug 249
Image
V9588SAF-100UG 1 mg/ml in 1X PBS; BSA free, sodium azide free 100 ug 539
Microvalidated
Bulk quote request
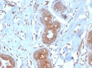
IHC staining of FFPE human breast tissue with LRG1 antibody (clone LRG1/4882) at 2ug/ml in PBS for 30min RT. HIER: boil tissue sections in pH 9 10mM Tris with 1mM EDTA for 20 min and allow to cool before testing.
SDS-PAGE analysis of purified, BSA-free LRG1 antibody (clone LRG1/4882) as confirmation of integrity and purity.
Analysis of HuProt(TM) microarray containing more than 19,000 full-length human proteins using LRG1 antibody (clone LRG1/4882). These results demonstrate the foremost specificity of the LRG1/4882 mAb. Z- and S- score: The Z-score represents the strength of a signal that an antibody (in combination with a fluorescently-tagged anti-IgG secondary Ab) produces when binding to a particular protein on the HuProt(TM) array. Z-scores are described in units of standard deviations (SD's) above the mean value of all signals generated on that array. If the targets on the HuProt(TM) are arranged in descending order of the Z-score, the S-score is the difference (also in units of SD's) between the Z-scores. The S-score therefore represents the relative target specificity of an Ab to its intended target.
Availability 1-3 business days
Species Reactivity Human
Format Purified
Clonality Monoclonal (mouse origin)
Isotype Mouse IgG2b, kappa
Clone Name LRG1/4882
Purity Protein A/G affinity
UniProt P02750
Localization Secreted
Applications Immunohistochemistry (FFPE) : 1-2ug/ml
Limitations This LRG1 antibody is available for research use only.
Review this product on BioCompare and get a $20 Amazon gift card

Related Products

Description

LRG1 (leucine-rich 2-glycoprotein), also known as LRG, is a 347 amino acid secreted protein that contains 8 LRR (leucine-rich) repeats and one LRRCT domain. The leucine-rich repeat (LRR) family of proteins, including LRG1, have been shown to be involved in protein-protein interaction, signal transduction, cell adhesion and development. Found mainly in plasma, LRG1 is expressed during granulocyte differentiation. The gene that encodes LRG1 consists of nearly 3,000 bases and maps to human chromosome 19p13.3. Chromosome 19 consists of over 63 million bases, houses approximately 1,400 genes and is recognized for having the greatest gene density of the human chromosomes. It is the genetic home for a number of immunoglobulin (Ig) superfamily members, including the killer cell and leukocyte Ig-like receptors, a number of ICAMs, the CEACAM and PSG families and Fc receptors (FcRs).

Application Notes

Optimal dilution of the LRG1 antibody should be determined by the researcher.

Immunogen

A portion of amino acids 30-180 was used as the immunogen for the LRG1 antibody.

Storage

Aliquot the LRG1 antibody and store frozen at -20oC or colder. Avoid repeated freeze-thaw cycles.

Cross
Bulk Quote Request Form
Name*:
Organization*:
Email*:
Phone Number*:
Catalog No.*:
Comments and Specifics(amount, formulation, etc.)*:
Validation code: Captchapackage Image


Can't read the image? click here to refresh.
    *required field

Your bulk quote request has been submitted successfully!

Please contact us if you have any questions.