• Tel: 858.663.9055
  • SeparatorEmail: info@nsjbio.com
  • Tel: 858.663.9055
  • Email: info@nsjbio.com
Home >> Antibodies >> LPLUNC1 Antibody / BPIFB1

LPLUNC1 Antibody / BPIFB1 [clone LPLUNC1/7059R] (V9745)

  Catalog No Formulation Size Price (USD)  
Image V9745-100UG 0.2 mg/ml in 1X PBS with 0.1 mg/ml BSA (US sourced), 0.05% sodium azide 100 ug 539
Image
V9745-20UG 0.2 mg/ml in 1X PBS with 0.1 mg/ml BSA (US sourced), 0.05% sodium azide 20 ug 249
Image
V9745SAF-100UG 1 mg/ml in 1X PBS; BSA free, sodium azide free 100 ug 539
Microvalidated Recrabbitmono
Bulk quote request
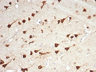
IHC staining of FFPE human brain tissue with LPLUNC1 antibody (clone LPLUNC1/7059R). HIER: boil tissue sections in pH 9 10mM Tris with 1mM EDTA for 20 min and allow to cool before testing.
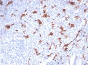
IHC staining of FFPE human tonsil tissue with LPLUNC1 antibody (clone LPLUNC1/7059R). Negative control inset: PBS used instead of primary antibody to control for secondary Ab binding. HIER: boil tissue sections in pH 9 10mM Tris with 1mM EDTA for 20 min and allow to cool before testing.
SDS-PAGE analysis of purified, BSA-free LPLUNC1 antibody (clone LPLUNC1/7059R) as confirmation of integrity and purity.
Availability 1-3 business days
Species Reactivity Human
Format Purified
Clonality Recombinant Rabbit Monoclonal
Isotype Rabbit IgG, kappa
Clone Name LPLUNC1/7059R
Purity Protein A/G affinity
UniProt Q8TDL5
Localization Secreted
Applications ELISA (order BSA-free Format For Coating) :
Western Blot : 1-2ug/ml
Immunohistochemistry (FFPE) : 1-2ug/ml
Limitations This LPLUNC1 antibody is available for research use only.
Review this product on BioCompare and get a $20 Amazon gift card

Related Products

Description

The upper respiratory tract is the main place of entry for pathogens to invade the body, and early recognition of bacterial products in this region is crucial for host defense. Palate lung nasal epithelial clone PLUNC (or LUNX) is an airway specific secretory protein that is expressed in epithelial tissues and submucosal glands of the oral cavity and upper respiratory tract of humans, mice, rats and cows. PLUNC binds to lipopolysaccharide (LPS) in nasal lavage fluid (NLF) which points to its role in the inflammatory response of the upper airways after exposure to irritants. Decreased levels of PLUNC occur in the NLF of smokers and people who have been exposed to reactive epoxy chemicals, indicating that long-term exposure to airway irritants impairs the production of PLUNC in the upper respiratory tract. Abnormal expression of PLUNC may influence susceptibility to nasopharyngeal carcinoma in the Chinese population.

Application Notes

Optimal dilution of the LPLUNC1 antibody should be determined by the researcher.

Immunogen

Recombinant full-length human protein was used as the immunogen for the LPLUNC1 antibody.

Storage

Aliquot the LPLUNC1 antibody and store frozen at -20oC or colder. Avoid repeated freeze-thaw cycles.

Cross
Bulk Quote Request Form
Name*:
Organization*:
Email*:
Phone Number*:
Catalog No.*:
Comments and Specifics(amount, formulation, etc.)*:
Validation code: Captchapackage Image


Can't read the image? click here to refresh.
    *required field

Your bulk quote request has been submitted successfully!

Please contact us if you have any questions.