• Tel: 858.663.9055
  • SeparatorEmail: info@nsjbio.com
  • Tel: 858.663.9055
  • Email: info@nsjbio.com
Home >> Antibodies >> LONP1 Antibody

LONP1 Antibody (RQ5309)

  Catalog No Formulation Size Price (USD)  
Image RQ5309 0.5mg/ml if reconstituted with 0.2ml sterile DI water 100 ug 439
Bulk quote request
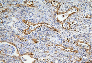
IHC staining of FFPE human rectal cancer with LONP1 antibody. HIER: boil tissue sections in pH6, 10mM citrate buffer, for 20 min and allow to cool before testing.
IHC staining of FFPE human breast cancer with LONP1 antibody. HIER: boil tissue sections in pH6, 10mM citrate buffer, for 20 min and allow to cool before testing.
IHC staining of FFPE human lung cancer with LONP1 antibody. HIER: boil tissue sections in pH6, 10mM citrate buffer, for 20 min and allow to cool before testing.
Immunofluorescent staining of FFPE human A431 cells with LONP1 antibody (green) and DAPI nuclear stain (blue). HIER: steam section in pH6 citrate buffer for 20 min.
Western blot testing of human 1) K562, 2) U-87 MG, 3) PC-3, 4) A549, 5) mouse liver, 6) mouse kidney and 7) mouse SP2/0 lysate with LONP1 antibody. Expected molecular weight ~106 kDa.
Flow cytometry testing of human HL-60 cells with LONP1 antibody at 1ug/million cells (blocked with goat sera); Red=cells alone, Green=isotype control, Blue= LONP1 antibody.
Availability 1-3 business days
Species Reactivity Human, Mouse, Rat
Format Antigen affinity purified
Clonality Polyclonal (rabbit origin)
Isotype Rabbit IgG
Purity Affinity purified
Buffer Lyophilized from 1X PBS with 2% Trehalose and 0.025% sodium azide
UniProt P36776
Applications Western Blot : 0.5-1ug/ml
Immunohistochemistry (FFPE) : 1-2ug/ml
Direct ELISA : 0.1-0.5ug/ml
Immunofluorescence (FFPE) : 2-4ug/ml
Flow Cytometry : 1-3ug/million cells
Limitations This LONP1 antibody is available for research use only.
Review this product on BioCompare and get a $20 Amazon gift card

Related Products

Description

Lon protease homolog, mitochondrial is an enzyme that in humans is encoded by the LONP1gene. It is mapped to 19p13.3. This gene encodes a mitochondrial matrix protein that belongs to the Lon family of ATP-dependent proteases. This protein mediates the selective degradation of misfolded, unassembled or oxidatively damaged polypeptides in the mitochondrial matrix. It may also have a chaperone function in the assembly of inner membrane protein complexes, and participate in the regulation of mitochondrial gene expression and maintenance of the integrity of the mitochondrial genome. Decreased expression of this gene has been noted in a patient with hereditary spastic paraplegia.

Application Notes

Optimal dilution of the LONP1 antibody should be determined by the researcher.

Immunogen

Amino acids R137-A320 from the human protein were used as the immunogen for the LONP1 antibody.

Storage

Store the LONP1 antibody at -20oC.

Cross
Bulk Quote Request Form
Name*:
Organization*:
Email*:
Phone Number*:
Catalog No.*:
Comments and Specifics(amount, formulation, etc.)*:
Validation code: Captchapackage Image


Can't read the image? click here to refresh.
    *required field

Your bulk quote request has been submitted successfully!

Please contact us if you have any questions.