• Tel: 858.663.9055
  • SeparatorEmail: info@nsjbio.com
  • Tel: 858.663.9055
  • Email: info@nsjbio.com
Home >> Antibodies >> LIN28B Antibody

LIN28B Antibody (F44237)

  Catalog No Formulation Size Price (USD)  
Image F44237-0.2ML In 1X PBS, pH 7.4, with 0.09% sodium azide 0.2 ml 429
Image
F44237-0.05ML In 1X PBS, pH 7.4, with 0.09% sodium azide 0.05 ml 199
Bulk quote request
Western blot analysis of LIN28B antibody and 1) HeLa, 2) K562, 3) mouse testis and 4) NCCIT lysate. Predicted molecular weight ~27 kDa.
IHC analysis of FFPE human testis tissue stained with LIN28B antibody
IHC analysis of FFPE human spleen tissue stained with LIN28B antibody
Flow cytometric analysis of HL-60 cells using LIN28B antibody (green) compared to a negative control (blue). FITC-conjugated goat-anti-rabbit secondary Ab was used for the analysis.
Confocal immunofluorescent analysis of LIN28B antibody and HepG2 cells with Alexa Fluor 488-conjugated secondary (green). DAPI was used to stain the cell nuclear (blue).
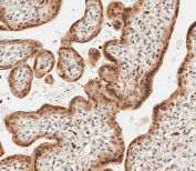
IHC analysis of FFPE human placental tissue stained with LIN28B antibody. HIER: boil tissue sections in pH 9 EDTA for 20 min and allow to cool before testing.
Availability 1-3 business days
Species Reactivity Human
Predicted Reactivity Mouse
Format Antigen affinity purified
Clonality Polyclonal (rabbit origin)
Isotype Rabbit Ig
Purity Antigen affinity
UniProt Q6ZN17
Applications Western Blot : 1:1000
IHC (Paraffin) : 1:10-1:50
Flow Cytometry : 1:10-1:50
Immunofluorescence : 1:10-1:50
Limitations This LIN28B antibody is available for research use only.
Review this product on BioCompare and get a $20 Amazon gift card

Related Products

  • Applications : IF, WB, IHC, FACS, ELISA
    Reactivity : Human
  • Applications : WB, FACS, ELISA
    Reactivity : Human

Description

LIN28B is a suppressor of microRNA (miRNA) biogenesis, including that of let-7 and possibly of miR107, miR-143 and miR-200c. Binds primary let-7 transcripts (pri-let-7), including pri-let-7g and pri-let-7a-1, and sequester them in the nucleolus, away from the microprocessor complex, hence preventing their processing into mature miRNA. Does not act on pri-miR21. The repression of let-7 expression is required for normal development and contributes to maintain the pluripotent state of embryonic stem cells by preventing let-7-mediated differentiation. When overexpressed, recruits ZCCHC11/TUT4 uridylyltransferase to pre-let-7 transcripts, leading to their terminal uridylation and degradation. This activity might not be relevant in vivo, as LIN28B-mediated inhibition of let-7 miRNA maturation appears to be ZCCHC11-independent. Interaction with target pre-miRNAs occurs via an 5'-GGAG-3' motif in the pre-miRNA terminal loop. Mediates MYC-induced let-7 repression (By similarity). [UniProt]

Application Notes

Titration of the LIN28B antibody may be required due to differences in protocols and secondary/substrate sensitivity.

Immunogen

A portion of amino acids 95-128 from the human protein was used as the immunogen for this LIN28B antibody.

Storage

Aliquot the LIN28B antibody and store frozen at -20oC or colder. Avoid repeated freeze-thaw cycles.

Cross
Bulk Quote Request Form
Name*:
Organization*:
Email*:
Phone Number*:
Catalog No.*:
Comments and Specifics(amount, formulation, etc.)*:
Validation code: Captchapackage Image


Can't read the image? click here to refresh.
    *required field

Your bulk quote request has been submitted successfully!

Please contact us if you have any questions.