• Tel: 858.663.9055
  • SeparatorEmail: info@nsjbio.com
  • Tel: 858.663.9055
  • Email: info@nsjbio.com
Home >> Antibodies >> LGR5 Antibody / Leucine-rich repeat-containing G-protein coupled receptor 5

LGR5 Antibody / Leucine-rich repeat-containing G-protein coupled receptor 5 (FY12528)

  Catalog No Formulation Size Price (USD)  
Image FY12528 Adding 0.2 ml of distilled water will yield a concentration of 500 ug/ml 100 ug 439
Bulk quote request
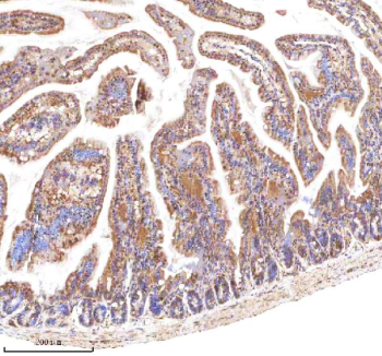
Immunohistochemical staining of LGR5 using anti-LGR5 antibody. LGR5 was detected in a paraffin-embedded section of mouse small intestine tissue. Heat mediated antigen retrieval was performed in EDTA buffer (pH 8.0, epitope retrieval solution). The tissue section was blocked with 10% goat serum. The tissue section was then incubated with 2 ug/ml rabbit anti-LGR5 antibody overnight at 4oC. Peroxidase Conjugated Goat Anti-rabbit IgG was used as secondary antibody and incubated for 30 minutes at 37oC. The tissue section was developed using an HRP secondary and DAB substrate.
Western blot analysis of LGR5 using anti-LGR5 antibody. Lane 1: human SH-SY5Y whole cell lysates, Lane 2: human HepG2 whole cell lysates, Lane 3: human RT4 whole cell lysates, Lane 4: human 293T whole cell lysates. After electrophoresis, proteins were transferred to a nitrocellulose membrane at 150 mA for 50-90 minutes. Blocked the membrane with 5% non-fat milk/TBS for 1.5 hour at RT. The membrane was incubated with rabbit anti-LGR5 antibody at 0.5 ug/ml overnight at 4oC, then washed with TBS-0.1%Tween 3 times with 5 minutes each and probed with a goat anti-rabbit IgG-HRP secondary antibody at a dilution of 1:5000 for 1.5 hour at RT. The signal was developed using enhanced chemiluminescent. LGR5 (~100 kDa predicted) was detected at ~130 kDa across multiple lysates, consistent with the known upward shift produced by N-linked glycosylation of the LGR5 ectodomain.
Immunohistochemical staining of LGR5 using anti-LGR5 antibody. LGR5 was detected in a paraffin-embedded section of rat small intestine tissue. Heat mediated antigen retrieval was performed in EDTA buffer (pH 8.0, epitope retrieval solution). The tissue section was blocked with 10% goat serum. The tissue section was then incubated with 2 ug/ml rabbit anti-LGR5 antibody overnight at 4oC. Peroxidase Conjugated Goat Anti-rabbit IgG was used as secondary antibody and incubated for 30 minutes at 37oC. The tissue section was developed using an HRP secondary and DAB substrate.
Flow Cytometry analysis of 293T cells using anti-LGR5 antibody. Overlay histogram showing 293T cells stained with (Blue line). The cells were fixed with 4% paraformaldehyde and blocked with 10% normal goat serum. And then incubated with rabbit anti-LGR5 antibody (1 ug/million cells) for 30 min at 20oC. DyLight 488 conjugated goat anti-rabbit IgG (5-10 ug/million cells) was used as secondary antibody for 30 minutes at 20oC. Isotype control antibody (Green line) was rabbit IgG (1 ug/million cells) used under the same conditions. Unlabelled sample without incubation with primary antibody and secondary antibody (Red line) was used as a blank control.
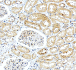
Immunohistochemical staining of LGR5 using anti-LGR5 antibody. LGR5 was detected in a paraffin-embedded section of human kidney tissue. Heat mediated antigen retrieval was performed in EDTA buffer (pH 8.0, epitope retrieval solution). The tissue section was blocked with 10% goat serum. The tissue section was then incubated with 2 ug/ml rabbit anti-LGR5 antibody overnight at 4oC. Peroxidase Conjugated Goat Anti-rabbit IgG was used as secondary antibody and incubated for 30 minutes at 37oC. The tissue section was developed using an HRP secondary and DAB substrate.
Availability 1-2 days
Species Reactivity Human, Mouse, Rat
Format Lyophilized
Clonality Polyclonal (rabbit origin)
Isotype Rabbit IgG
Purity Immunogen affinity purified
Buffer Each vial contains 4 mg Trehalose, 0.9 mg NaCl, 0.2 mg Na2HPO4.
UniProt O75473
Localization Golgi, cell membrane
Applications Western Blot : 0.25-0.5ug/ml
Immunohistochemistry : 2-5ug/ml
Flow Cytometry : 1-3ug/million cells
ELISA : 0.1-0.5ug/ml
Limitations This LGR5 antibody is available for research use only.
Review this product on BioCompare and get a $20 Amazon gift card

Related Products

Description

LGR5 antibody detects Leucine-rich repeat-containing G-protein coupled receptor 5, a stem-cell marker and receptor for R-spondin proteins that potentiate Wnt/beta-catenin signaling. LGR5 is essential for maintaining self-renewing adult stem cell populations in the intestine, hair follicle, and stomach. The LGR5 antibody is used in stem-cell biology, oncology, and regenerative medicine to identify proliferative stem cell compartments.

LGR5 is encoded by the LGR5 gene on human chromosome 12q21.1. The receptor is approximately 907 amino acids long, with seven transmembrane domains typical of GPCRs and a large extracellular region containing leucine-rich repeats that mediate ligand binding. Upon R-spondin binding, LGR5 interacts with Frizzled and LRP5/6 receptors, amplifying Wnt signaling to sustain stem-cell proliferation.

The LGR5 antibody detects a 100-120 kilodalton protein by western blot and exhibits membrane and cytoplasmic localization in proliferative epithelial zones. In the intestine, LGR5 marks crypt base columnar cells capable of regenerating the entire epithelium. In the hair follicle, it labels bulge stem cells responsible for hair cycle renewal.

LGR5 expression is tightly regulated by Wnt activity and is a key marker for cancer stem cells in colorectal and gastric carcinomas. Overexpression promotes tumor initiation and therapy resistance, while knockdown suppresses proliferation and restores differentiation. The receptor modulates beta-catenin stabilization, transcription of target genes, and maintenance of undifferentiated states.

Because of its role in tissue regeneration and cancer stemness, LGR5 is an important biomarker for stem-cell tracking and targeted therapy development. NSJ Bioreagents provides a validated LGR5 antibody optimized for its applications, enabling precise identification of Wnt-responsive stem cell populations and cancer progenitors.

Application Notes

Optimal dilution of the LGR5 antibody should be determined by the researcher.

Immunogen

E.coli-derived human LGR5 recombinant protein (Position: R26-L907) was used as the immunogen for the LGR5 antibody.

Storage

After reconstitution, the LGR5 antibody can be stored for up to one month at 4oC. For long-term, aliquot and store at -20oC. Avoid repeated freezing and thawing.

Cross
Bulk Quote Request Form
Name*:
Organization*:
Email*:
Phone Number*:
Catalog No.*:
Comments and Specifics(amount, formulation, etc.)*:
Validation code: Captchapackage Image


Can't read the image? click here to refresh.
    *required field

Your bulk quote request has been submitted successfully!

Please contact us if you have any questions.