• Tel: 858.663.9055
  • SeparatorEmail: info@nsjbio.com
  • Tel: 858.663.9055
  • Email: info@nsjbio.com
Home >> Antibodies >> LDHB Antibody / Lactate dehydrogenase B

LDHB Antibody / Lactate dehydrogenase B (R32544)

  Catalog No Formulation Size Price (USD)  
Image R32544 0.5mg/ml if reconstituted with 0.2ml sterile DI water 100 ug 439
Bulk quote request
Immunofluorescent staining of human A431 cells with LDHB antibody (red) and DAPI nuclear stain (blue).
IHC testing of FFPE human tonsil with LDHB antibody at 1ug/ml. HIER: steam section in pH6 citrate buffer for 20 min.
IHC testing of FFPE human brain with LDHB antibody at 1ug/ml. HIER: steam section in pH6 citrate buffer for 20 min.
IHC testing of FFPE rat spleen with LDHB antibody at 1ug/ml. HIER: steam section in pH6 citrate buffer for 20 min.
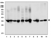
Western blot testing of 1) human HeLa, 2) human placenta, 3) human PC-3, 4) monkey COS-7, 5) human HEK293, 6) human A549, 7) monkey kidney, 8) rat kidney, 9) rat heart, 10) mouse kidney and 11) mouse heart lysate with LDHB antibody at 0.5ug/ml. Predicted molecular weight ~36 kDa.
Flow cytometry testing of human A549 cells with LDHB antibody at 1ug/million cells (blocked with goat sera); Red=cells alone, Green=isotype control, Blue= LDHB antibody.
Availability 1-3 business days
Species Reactivity Human, Mouse, Rat, Monkey
Format Antigen affinity purified
Clonality Polyclonal (rabbit origin)
Isotype Rabbit IgG
Purity Antigen affinity
Buffer Lyophilized from 1X PBS with 2.5% BSA and 0.025% sodium azide
UniProt P07195
Localization Cytoplasmic, membranous
Applications Western Blot : 0.5-1ug/ml
Immunohistochemistry (FFPE) : 1-2ug/ml
Flow Cytometry : 1-3ug/million cells
Immunofluorescence : 2-4ug/ml
Limitations This LDHB antibody is available for research use only.
Review this product on BioCompare and get a $20 Amazon gift card

Related Products

Description

The LDHB gene encodes the B subunit of lactate dehydrogenase enzyme, which catalyzes the interconversion of pyruvate and lactate with concomitant interconversion of NADH and NAD+ in a post-glycolysis process. Alternatively spliced transcript variants have been found for this gene. Recent studies have shown that a C-terminally extended isoform is produced by use of an alternative in-frame translation termination codon via a stop codon readthrough mechanism, and that this isoform is localized in the peroxisomes. Mutations in this gene are associated with lactate dehydrogenase B deficiency. Pseudogenes have been identified on chromosomes X, 5 and 13.

Application Notes

Differences in protocols and secondary/substrate sensitivity may require the LDHB antibody to be titrated for optimal performance.

Immunogen

Amino acids E237-L334 from the human protein were used as the immunogen for the LDHB antibody.

Storage

After reconstitution, the LDHB antibody can be stored for up to one month at 4oC. For long-term, aliquot and store at -20oC. Avoid repeated freezing and thawing.

Cross
Bulk Quote Request Form
Name*:
Organization*:
Email*:
Phone Number*:
Catalog No.*:
Comments and Specifics(amount, formulation, etc.)*:
Validation code: Captchapackage Image


Can't read the image? click here to refresh.
    *required field

Your bulk quote request has been submitted successfully!

Please contact us if you have any questions.