• Tel: 858.663.9055
  • SeparatorEmail: info@nsjbio.com
  • Tel: 858.663.9055
  • Email: info@nsjbio.com
Home >> Antibodies >> LDHA Antibody / Lactate dehydrogenase A

LDHA Antibody / Lactate dehydrogenase A (R32543)

  Catalog No Formulation Size Price (USD)  
Image R32543 0.5mg/ml if reconstituted with 0.2ml sterile DI water 100 ug 439
Bulk quote request
Immunofluorescent staining of FFPE human U-2 OS cells with LDHA antibody (red) and DAPI nuclear stain (blue). HIER: steam section in pH6 citrate buffer for 20 min.
IHC testing of FFPE human breast cancer tissue with LDHA antibody at 1ug/ml. HIER: steam section in pH6 citrate buffer for 20 min.
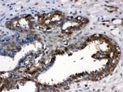
IHC testing of FFPE mouse intestine with LDHA antibody at 1ug/ml. HIER: steam section in pH6 citrate buffer for 20 min.
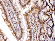
IHC testing of FFPE rat intestine with LDHA antibody at 1ug/ml. HIER: steam section in pH6 citrate buffer for 20 min.
Flow cytometry testing of human A549 cells with LDHA antibody at 1ug/million cells (blocked with goat sera); Red=cells alone, Green=isotype control, Blue= LDHA antibody.
Western blot testing of 1) rat spleen, 2) mouse ANA-1 and 3) human Jurkat lysate with LDHA antibody at 0.5ug/ml. Predicted/observed molecular weight ~36 kDa.
Availability 1-3 business days
Species Reactivity Human, Mouse, Rat
Format Antigen affinity purified
Clonality Polyclonal (rabbit origin)
Isotype Rabbit IgG
Purity Antigen affinity
Buffer Lyophilized from 1X PBS with 2.5% BSA and 0.025% sodium azide
UniProt P00338
Localization Cytoplasmic, nuclear
Applications Western Blot : 0.5-1ug/ml
Immunohistochemistry (FFPE) : 1-2ug/ml
Flow Cytometry : 1-3ug/million cells
Immunofluorescence (FFPE) : 2-4ug/ml
Limitations This LDHA antibody is available for research use only.
Review this product on BioCompare and get a $20 Amazon gift card

Related Products

Description

Lactate dehydrogenase A, also known as LDHA, is an enzyme which in humans is encoded by the LDHA gene. The protein encoded by this gene catalyzes the conversion of L-lactate and NAD to pyruvate and NADH in the final step of anaerobic glycolysis. The protein is found predominantly in muscle tissue and belongs to the lactate dehydrogenase family. Mutations in this gene have been linked to exertional myoglobinuria. Multiple transcript variants encoding different isoforms have been found for this gene. The human genome contains several non-transcribed pseudogenes of this gene.

Application Notes

Differences in protocols and secondary/substrate sensitivity may require the LDHA antibody to be titrated for optimal performance.

Immunogen

Amino acids A2-R106 from the human protein were used as the immunogen for the LDHA antibody.

Storage

After reconstitution, the LDHA antibody can be stored for up to one month at 4oC. For long-term, aliquot and store at -20oC. Avoid repeated freezing and thawing.

Cross
Bulk Quote Request Form
Name*:
Organization*:
Email*:
Phone Number*:
Catalog No.*:
Comments and Specifics(amount, formulation, etc.)*:
Validation code: Captchapackage Image


Can't read the image? click here to refresh.
    *required field

Your bulk quote request has been submitted successfully!

Please contact us if you have any questions.