• Tel: 858.663.9055
  • SeparatorEmail: info@nsjbio.com
  • Tel: 858.663.9055
  • Email: info@nsjbio.com
Home >> Antibodies >> LCK Antibody

LCK Antibody (R31894)

  Catalog No Formulation Size Price (USD)  
Image R31894 0.5mg/ml if reconstituted with 0.2ml sterile DI water 100 ug 439
Bulk quote request
Western blot testing of 1) human Jurkat, 2) rat thymus, 3) rat spleen, 4) mouse thymus and 5) mouse spleen lysate with LCK antibody. Expected/observed molecular weight ~58 kDa.
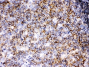
IHC testing of FFPE human tonsil with LCK antibody. HIER: Boil the paraffin sections in pH 6, 10mM citrate buffer for 20 minutes and allow to cool prior to staining.
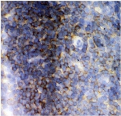
IHC testing of FFPE mouse lymph node with LCK antibody. HIER: Boil the paraffin sections in pH 6, 10mM citrate buffer for 20 minutes and allow to cool prior to staining.
IHC testing of FFPE rat lymph node with LCK antibody. HIER: Boil the paraffin sections in pH 6, 10mM citrate buffer for 20 minutes and allow to cool prior to staining.
IHC staining of frozen mouse spleen tissue with LCK antibody.
IF/ICC staining of FFPE human U-2 OS cells with LCK antibody (clone red) and DAPI nuclear stain (blue). HIER: boil tissue sections in pH6, 10mM citrate buffer, for 20 min and allow to cool before testing.
Flow cytometry testing of human HepG2 cells with LCK antibody at 1ug/million cells (blocked with goat sera); Red=cells alone, Green=isotype control, Blue= LCK antibody.
Availability 1-3 business days
Species Reactivity Human, Mouse, Rat
Format Antigen affinity purified
Clonality Polyclonal (rabbit origin)
Isotype Rabbit IgG
Purity Antigen affinity
Buffer Lyophilized from 1X PBS with 2% Trehalose and 0.025% sodium azide
UniProt P06239
Localization Cytoplasmic
Applications Western Blot : 0.1-0.5ug/ml
Immunohistochemistry (FFPE) : 0.5-1ug/ml
Flow Cytometry : 1-3ug/10^6 cells
Immunocytochemistry : 2-4ug/ml
Limitations This LCK antibody is available for research use only.
Review this product on BioCompare and get a $20 Amazon gift card

Related Products

  • Applications : WB, ELISA
    Reactivity : Human
  • Applications : WB
    Reactivity : Human
    Rab Mono Image
  • Applications : WB, IHC-P, FACS, IF
    Reactivity : Human
  • Applications : WB, ELISA
    Reactivity : Mouse
  • Applications : IHC, FACS, WB, ELISA
    Reactivity : Human
  • Applications : IHC, IF, FACS, WB, ELISA
    Reactivity : Human, Mouse, Rat
  • Applications : WB, ELISA (peptide)
    Reactivity : Human, Rat, Pig
    Pred. Reactivity : Cow, Dog, Mouse

Description

Lck (or lymphocyte-specific protein tyrosine kinase) is a protein found inside specialized cells of the immune system called lymphocytes. The human LCK gene is mapped to chromosome 1p35-p32. This gene is a member of the Src family of protein tyrosine kinases (PTKs). The encoded protein is a key signaling molecule in the selection and maturation of developing T-cells. It contains N-terminal sites for myristylation and palmitylation, a PTK domain, and SH2 and SH3 domains which are involved in mediating protein-protein interactions with phosphotyrosine-containing and proline-rich motifs, respectively. The protein localizes to the plasma membrane and pericentrosomal vesicles, and binds to cell surface receptors, including CD4 and CD8, and other signaling molecules. Multiple alternatively spliced variants, encoding the same protein, have been described.

Application Notes

Optimal dilution of the LCK antibody should be determined by the researcher.

Immunogen

Amino acids ELYQLMRLCWKERPEDRPTFDYLRSVLEDFFTATEGQYQ of human Lymphocyte-specific protein tyrosine kinase were used as the immunogen for the LCK antibody.

Storage

After reconstitution, the LCK antibody can be stored for up to one month at 4oC. For long-term, aliquot and store at -20oC. Avoid repeated freezing and thawing.

Cross
Bulk Quote Request Form
Name*:
Organization*:
Email*:
Phone Number*:
Catalog No.*:
Comments and Specifics(amount, formulation, etc.)*:
Validation code: Captchapackage Image


Can't read the image? click here to refresh.
    *required field

Your bulk quote request has been submitted successfully!

Please contact us if you have any questions.