• Tel: 858.663.9055
  • SeparatorEmail: info@nsjbio.com
  • Tel: 858.663.9055
  • Email: info@nsjbio.com
Home >> Antibodies >> LCAT Antibody

LCAT Antibody (F55046)

  Catalog No Formulation Size Price (USD)  
Image F55046-0.4ML In 1X PBS, pH 7.4, with 0.09% sodium azide 0.4 ml 429
Image
F55046-0.08ML In 1X PBS, pH 7.4, with 0.09% sodium azide 0.08 ml 199
Bulk quote request
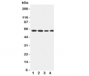
Western blot testing of human K562 cell lysate with LCAT antibody. Predicted molecular weight ~49 kDa.
Immunofluorescent staining of human HEK293 cells with LCAT antibody (green) and DAPI nuclear stain (blue).
IHC testing of FFPE human brain tissue with LCAT antibody. HIER: steam section in pH6 citrate buffer for 20 min and allow to cool prior to staining.
Flow cytometry testing of human K562 cells with LCAT antibody; Blue=isotype control, Green= LCAT antibody.
Availability 1-3 business days
Species Reactivity Human
Format Purified
Clonality Polyclonal (rabbit origin)
Isotype Rabbit Ig
Purity Antigen affinity purified
UniProt P04180
Applications Flow Cytometry : 1:10-1:50 (1x10e6 cells)
Immunofluorescence : 1:10-1:50
Immunohistochemistry (FFPE) : 1:10-1:50
Western Blot : 1:500-1:1000
Limitations This LCAT antibody is available for research use only.
Review this product on BioCompare and get a $20 Amazon gift card

Related Products

  • Applications : WB
    Reactivity : Human, Rat
  • Applications : WB
    Reactivity : Human, Mouse, Rat
  • Applications : WB, ELISA (peptide)
    Reactivity : Human, Mouse, Rat, Dog, Pig, Cow
  • Applications : WB, ELISA (peptide)
    Reactivity : Human

Description

LCAT encodes the extracellular cholesterol esterifying enzyme, lecithin-cholesterol acyltransferase. The esterification of cholesterol is required for cholesterol transport.

Application Notes

The stated application concentrations are suggested starting points. Titration of the LCAT antibody may be required due to differences in protocols and secondary/substrate sensitivity.

Immunogen

A portion of amino acids 285-313 from the human protein was used as the immunogen for the LCAT antibody.

Storage

Aliquot the LCAT antibody and store frozen at -20oC or colder. Avoid repeated freeze-thaw cycles.

Cross
Bulk Quote Request Form
Name*:
Organization*:
Email*:
Phone Number*:
Catalog No.*:
Comments and Specifics(amount, formulation, etc.)*:
Validation code: Captchapackage Image


Can't read the image? click here to refresh.
    *required field

Your bulk quote request has been submitted successfully!

Please contact us if you have any questions.