• Tel: 858.663.9055
  • SeparatorEmail: info@nsjbio.com
  • Tel: 858.663.9055
  • Email: info@nsjbio.com
Home >> Antibodies >> LAMP-2A Antibody

LAMP-2A Antibody [clone DIE-12] (RQ5402)

  Catalog No Formulation Size Price (USD)  
Image RQ5402 Antibody in PBS with 0.02% sodium azide, 50% glycerol and 0.4-0.5mg/ml BSA 100 ul 439
Microvalidated Rab Mono Image
Bulk quote request
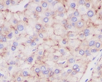
IHC staining of FFPE human liver cancer with LAMP-2A antibody. HIER: boil tissue sections in pH6, 10mM citrate buffer, for 10-20 min and allow to cool before testing.
Western blot testing of human JAR cell lysate with LAMP-2A antibody. This protein can be extensively glycosylated and has a visualized molecular weight from 45~110 kDa.
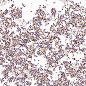
IHC staining of FFPE human small cell lung cancer tissue with LAMP-2A antibody. HIER: boil tissue sections in pH6, 10mM citrate buffer, for 10-20 min and allow to cool before testing.
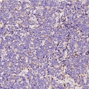
IHC staining of FFPE human pituitary tumor tissue with LAMP-2A antibody. HIER: boil tissue sections in pH6, 10mM citrate buffer, for 10-20 min and allow to cool before testing.
Western blot testing of 1) human HeLa and 2) rat spleen tissue lysate with LAMP-2A antibody. This protein can be extensively glycosylated and has a visualized molecular weight from 45~110 kDa.
Western blot testing of 1) mouse liver and 2) rat liver tissue lysate with LAMP-2A antibody. This protein can be extensively glycosylated and has a visualized molecular weight from 45~110 kDa.
Availability 1-2 weeks
Species Reactivity Human, Mouse, Rat
Format Purified
Clonality Rabbit Monoclonal
Isotype Rabbit IgG
Clone Name DIE-12
Purity Affinity purified
UniProt P13473
Applications Western Blot : 1:500-1:2000
Immunohistochemistry (FFPE) : 1:50-1:600
Limitations This LAMP-2A antibody is available for research use only.
Review this product on BioCompare and get a $20 Amazon gift card

Related Products

Description

The protein encoded by the LAMP2 gene is a member of a family of membrane glycoproteins. This glycoprotein provides selectins with carbohydrate ligands. It may play a role in tumor cell metastasis. It may also function in the protection, maintenance, and adhesion of the lysosome. Alternative splicing of this gene results in multiple transcript variants encoding distinct proteins. [RefSeq]

Application Notes

Optimal dilution of the LAMP-2A antibody should be determined by the researcher.

Immunogen

A synthetic peptide specific to the LAMP-2A isoform of human LAMP2 was used as the immunogen for the LAMP-2A antibody.

Storage

Store the LAMP-2A antibody at -20oC.

Cross
Bulk Quote Request Form
Name*:
Organization*:
Email*:
Phone Number*:
Catalog No.*:
Comments and Specifics(amount, formulation, etc.)*:
Validation code: Captchapackage Image


Can't read the image? click here to refresh.
    *required field

Your bulk quote request has been submitted successfully!

Please contact us if you have any questions.