• Tel: 858.663.9055
  • SeparatorEmail: info@nsjbio.com
  • Tel: 858.663.9055
  • Email: info@nsjbio.com
Home >> Antibodies >> Laminin gamma Antibody (G1-3)

Laminin gamma Antibody (G1-3) (R32946)

  Catalog No Formulation Size Price (USD)  
Image R32946 0.5mg/ml if reconstituted with 0.2ml sterile DI water 100 ug 439
Bulk quote request
Western blot testing of 1) mouse lung, 2) rat heart, 3) rat lung and 4) human HeLa lysate with Laminin gamma antibody at 0.5ug/ml. Expected molecular weight: 172-200 kDa (G1 & G3), 130-140 kDa (G2).
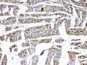
IHC testing of FFPE mouse heart tissue with Laminin gamma antibody at 1ug/ml. Required HIER: steam section in pH6 citrate buffer for 20 min and allow to cool prior to testing.
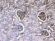
IHC testing of FFPE mouse kidney tissue with Laminin gamma antibody at 1ug/ml. Required HIER: steam section in pH6 citrate buffer for 20 min and allow to cool prior to testing.
IHC testing of FFPE rat heart tissue with Laminin gamma antibody at 1ug/ml. Required HIER: steam section in pH6 citrate buffer for 20 min and allow to cool prior to testing.
IHC testing of FFPE rat kidney tissue with Laminin gamma antibody at 1ug/ml. Required HIER: steam section in pH6 citrate buffer for 20 min and allow to cool prior to testing.
Availability 1-3 business days
Species Reactivity Human, Mouse, Rat
Format Antigen affinity purified
Clonality Polyclonal (rabbit origin)
Isotype Rabbit IgG
Purity Antigen affinity
Buffer Lyophilized from 1X PBS with 2.5% BSA, 0.025% sodium azide
UniProt P02468 , Q61092 , Q9R0B6
Localization Membrane, secreted (cytoplasmic in some tissue)
Applications Western Blot : 0.5-1ug/ml
IHC (FFPE) : 1-2ug/ml
Limitations This Laminin gamma antibody is available for research use only.
Review this product on BioCompare and get a $20 Amazon gift card

Related Products

Description

Laminins are major proteins in the basal lamina (one of the layers of the basement membrane), a protein network foundation for most cells and organs. Laminins form independent networks and are associated with type IV collagen networks via entactin, fibronectin, and perlecan. They are important and biologically active parts of the basal lamina, influencing cell differentiation, migration, and adhesion, as well as phenotype and survival. Laminins are trimeric proteins that contain an ?-chain, a ?-chain, and a ?-chain, found in five, four, and three genetic variants, respectively. Laminins critically contribute to cell attachment and differentiation, cell shape and movement, maintenance of tissue phenotype, and promotion of tissue survival.

Application Notes

Optimal dilution of the Laminin gamma antibody should be determined by the researcher.

Immunogen

Amino acid sequences from Laminin gamma 1-3 (NKLNEIEGSLNKAKDEMKAS + DLEERVRRQRNHLHLLETSI + LQLDSHGALHHKLRQLEEES) were used as the immunogen for the Laminin gamma antibody.

Storage

After reconstitution, the Laminin gamma antibody can be stored for up to one month at 4oC. For long-term, aliquot and store at -20oC. Avoid repeated freezing and thawing.

Cross
Bulk Quote Request Form
Name*:
Organization*:
Email*:
Phone Number*:
Catalog No.*:
Comments and Specifics(amount, formulation, etc.)*:
Validation code: Captchapackage Image


Can't read the image? click here to refresh.
    *required field

Your bulk quote request has been submitted successfully!

Please contact us if you have any questions.