• Tel: 858.663.9055
  • SeparatorEmail: info@nsjbio.com
  • Tel: 858.663.9055
  • Email: info@nsjbio.com
Home >> Antibodies >> Laminin Antibody (Gamma 1-3)

Laminin Antibody (Gamma 1-3) (R31563)

  Catalog No Formulation Size Price (USD)  
Image R31563 0.5mg/ml if reconstituted with 0.2ml sterile DI water 100 ug 439
Bulk quote request
Western blot testing of Laminin antibody and Lane 1: HeLa; 2: HEPG2 lysate. Expected molecular weight: 172-200 kDa (G1 & G3), 130-140 kDa (G2).
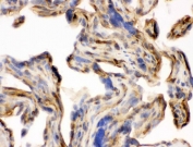
IHC staining of FFPE human lung cancer with Laminin antibody. HIER: boil tissue sections in pH6, 10mM citrate buffer, for 20 min and allow to cool before testing.
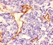
IHC staining of frozen human placenta with Laminin antibody. HIER: boil tissue sections in pH6, 10mM citrate buffer, for 20 min and allow to cool before testing.
Availability 1-3 business days
Species Reactivity Human
Format Antigen affinity purified
Clonality Polyclonal (rabbit origin)
Isotype Rabbit IgG
Purity Antigen affinity
Buffer Lyophilized from 1X PBS with 2.5% BSA and 0.025% sodium azide
UniProt P02468 , Q61092 , Q9R0B6
Gene ID 3915 , 3918 , 10319
Localization Membrane, secreted (cytoplasmic in some tissue)
Applications Western Blot : 0.5-1ug/ml
Immunohistochemistry (FFPE) : 1-2ug/ml
Immunohistochemistry (Frozen) : 1-2ug/ml
Limitations This Laminin antibody is available for research use only.
Review this product on BioCompare and get a $20 Amazon gift card

Related Products

Description

Laminins are major proteins in the basal lamina (one of the layers of the basement membrane), a protein network foundation for most cells and organs. Laminins form independent networks and are associated with type IV collagen networks via entactin, fibronectin, and perlecan. They are important and biologically active parts of the basal lamina, influencing cell differentiation, migration, and adhesion, as well as phenotype and survival. Laminins are trimeric proteins that contain an alpha-chain, a beta-chain, and a gamma-chain, found in five, four, and three genetic variants, respectively. Laminins critically contribute to cell attachment and differentiation, cell shape and movement, maintenance of tissue phenotype, and promotion of tissue survival.

Application Notes

The stated application concentrations are suggested starting points. Titration of the Laminin antibody may be required due to differences in protocols and secondary/substrate sensitivity.

Immunogen

A peptide mixture of Laminin gamma 1, 2 & 3 (DLNKLNEIEGTLNKAKDEMK + MSELEERARQQRGHLHLLET + LQRKLSLLEQESQQQELQIQ) was used as the immunogen for this Laminin antibody.

Storage

After reconstitution, the Laminin antibody can be stored for up to one month at 4oC. For long-term, aliquot and store at -20oC. Avoid repeated freezing and thawing.

Cross
Bulk Quote Request Form
Name*:
Organization*:
Email*:
Phone Number*:
Catalog No.*:
Comments and Specifics(amount, formulation, etc.)*:
Validation code: Captchapackage Image


Can't read the image? click here to refresh.
    *required field

Your bulk quote request has been submitted successfully!

Please contact us if you have any questions.