• Tel: 858.663.9055
  • SeparatorEmail: info@nsjbio.com
  • Tel: 858.663.9055
  • Email: info@nsjbio.com
Home >> Antibodies >> Lamin B1 Antibody / LMNB1

Lamin B1 Antibody / LMNB1 (R30227)

  Catalog No Formulation Size Price (USD)  
Image R30227 0.5mg/ml if reconstituted with 0.2ml sterile DI water 100 ug 439
Bulk quote request
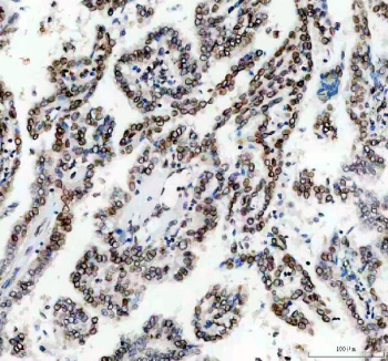
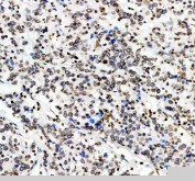
IHC staining of FFPE human lung cancer tissue with Lamin B1 antibody. HIER: boil tissue sections in pH8 EDTA for 20 min and allow to cool before testing.
IHC staining of FFPE human breast cancer tissue with Lamin B1 antibody. HIER: boil tissue sections in pH8 EDTA for 20 min and allow to cool before testing.
IHC staining of FFPE human colon cancer tissue with Lamin B1 antibody. HIER: boil tissue sections in pH8 EDTA for 20 min and allow to cool before testing.
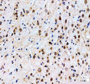
IHC staining of FFPE mouse brain tissue with Lamin B1 antibody. HIER: boil tissue sections in pH8 EDTA for 20 min and allow to cool before testing.
IHC staining of FFPE rat brain tissue with Lamin B1 antibody. HIER: boil tissue sections in pH8 EDTA for 20 min and allow to cool before testing.
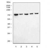
Western blot testing of 1) human Daudi, 2) human ThP-1, 3) human HL-60, 4) rat lung and 5) mouse lung tissue lysate with Lamin B1 antibody. Predicted molecular weight ~66 kDa.
Western blot testing of 1) human HeLa, 2) human K562, 3) human SH-SY5Y, 4) rat spleen, 5) rat PC-12 and 6) mouse RAW264.7 cell lysate with Lamin B1 antibody. Predicted molecular weight ~66 kDa.
Immunofluorescent staining of FFPE human U-2 OS cells with Lamin B1 antibody (green) and DAPI nuclear stain (blue). HIER: steam section in pH6 citrate buffer for 20 min.
Immunofluorescent staining of FFPE human lung cancer tissue with Lamin B1 antibody (red) and DAPI nuclear stain (blue). HIER: steam section in pH8 EDTA buffer for 20 min.
Immunoprecipitation of Lamin B1 protein from 500ug of human HeLa whole cell lysate with 2ug of Lamin B1 antibody.
Availability 1-3 business days
Species Reactivity Human, Mouse, Rat
Format Antigen affinity purified
Clonality Polyclonal (rabbit origin)
Isotype Rabbit IgG
Purity Antigen affinity
Buffer Lyophilized from 1X PBS with 2% Trehalose
UniProt P20700
Localization Nucleus lamina
Applications Western Blot : 0.5-1ug/ml
Immunohistochemistry (FFPE) : 2-5ug/ml
Immunofluorescence : 5ug/ml
Immunoprecipitation : 2ug per 500ug of lysate
Limitations This Lamin B1 antibody is available for research use only.
Review this product on BioCompare and get a $20 Amazon gift card

Related Products

  • Applications : WB, ICC/IF
    Reactivity : Human, Mouse, Primate
  • Applications : IHC, WB, ELISA
    Reactivity : Human
    Pred. Reactivity : Mouse, Rat
  • Applications : WB, ELISA (peptide)
    Reactivity : Human, Mouse
    Pred. Reactivity : Cow, Dog, Pig
  • Applications : WB, ELISA (peptide)
    Reactivity : Human
    Pred. Reactivity : Cow, Pig
  • Applications : WB, IHC-P, IP, IF, FACS
    Reactivity : Human, Mouse, Rat

Description

Lamin B1 antibody is a key reagent for studying nuclear structure, chromatin organization, and cellular aging. The encoded protein, LMNB1, is a member of the intermediate filament family that forms part of the nuclear lamina, a dense fibrous network underlying the inner nuclear membrane. Lamin B1 provides structural support to the nucleus and plays a central role in maintaining nuclear shape, organizing chromatin, and regulating gene expression. Its functions extend beyond mechanical stability, influencing processes such as DNA replication, transcriptional regulation, and cell cycle progression.

LMNB1 interacts with chromatin-associated proteins and transcriptional regulators, anchoring specific genomic regions to the nuclear periphery. Through these interactions, lamin B1 helps establish functional nuclear domains that modulate gene expression. The balance of lamin proteins, including lamin B1, is critical for normal nuclear architecture. Alterations in LMNB1 levels disrupt chromatin organization and can trigger cellular senescence, highlighting its importance in development and aging.

Clinical studies have connected lamin B1 dysregulation to disease. Overexpression of LMNB1 is associated with autosomal dominant leukodystrophy (ADLD), a neurodegenerative disorder marked by abnormal myelin loss in the central nervous system. In cancer biology, altered expression of lamin B1 has been linked to tumor progression, where changes in nuclear structure affect proliferation and invasion. These findings emphasize the role of lamin B1 not only as a structural protein but also as a factor influencing disease states.

At the molecular level, lamin B1 assembles into higher-order filaments that integrate with lamin A/C and other nuclear envelope proteins. This network provides both mechanical resilience and dynamic regulation of nuclear processes. Studies suggest that lamin B1 also participates in DNA damage responses, contributing to genome stability. Its multifunctional roles make LMNB1 an important target for research in cell biology, neuroscience, and oncology.

The Lamin B1 antibody is commonly employed in western blotting, immunohistochemistry, immunofluorescence, and flow cytometry to evaluate expression levels, nuclear localization, and disease-related changes. These applications support research into nuclear organization, senescence, and disease pathology. For investigators studying nuclear structure, chromatin regulation, or neurodegenerative disorders, the Lamin B1 antibody is a reliable detection tool. NSJ Bioreagents offers validated antibodies that provide accuracy and reproducibility in advanced molecular research.

Application Notes

The stated application concentrations are suggested starting points. Titration of the Lamin B1 antibody may be required due to differences in protocols and secondary/substrate sensitivity.

Immunogen

Amino acids 570-586 (FHQQGTPRASNRSCAIM-human) were used as the immunogen for this Lamin B1 antibody.

Storage

After reconstitution, the Lamin B1 antibody can be stored for up to one month at 4oC. For long-term, aliquot and store at -20oC. Avoid repeated freezing and thawing.

Cross
Bulk Quote Request Form
Name*:
Organization*:
Email*:
Phone Number*:
Catalog No.*:
Comments and Specifics(amount, formulation, etc.)*:
Validation code: Captchapackage Image


Can't read the image? click here to refresh.
    *required field

Your bulk quote request has been submitted successfully!

Please contact us if you have any questions.