• Tel: 858.663.9055
  • SeparatorEmail: info@nsjbio.com
  • Tel: 858.663.9055
  • Email: info@nsjbio.com
Home >> Antibodies >> Lamin A/C Antibody

Lamin A/C Antibody (R30269)

  Catalog No Formulation Size Price (USD)  
Image R30269 0.5mg/ml if reconstituted with 0.2ml sterile DI water 100 ug 439
Bulk quote request
Western blot testing of Lamin A/C antibody and Lane 1: HeLa; 2: A431 cell lysate. Predicted molecular weight ~74 & 65 kDa.
IHC-P: Lamin A/C antibody testing of human lung cancer tissue
IHC-P: Lamin A/C antibody testing of mouse intestine tissue
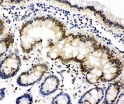
IHC-P: Lamin A/C antibody testing of rat intestine tissue
Availability 1-3 business days
Species Reactivity Human, Mouse, Rat
Format Antigen affinity purified
Clonality Polyclonal (rabbit origin)
Isotype Rabbit IgG
Purity Antigen affinity
Buffer Lyophilized from 1X PBS with 2.5% BSA and 0.025% sodium azide/thimerosal
UniProt P02545
Localization Nuclear
Applications Western Blot : 0.5-1ug/ml
IHC (FFPE) : 0.5-1ug/ml
Immunocytochemistry : 0.5-1ug/ml
Limitations This Lamin A/C antibody is available for research use only.
Review this product on BioCompare and get a $20 Amazon gift card

Related Products

Description

Lamins are structural protein components of the nuclear lamina, a protein network underlying the inner nuclear membrane that determines nuclear shape and size. There are three types of lamins, A, B and C. The Lamin A/C (LMNA) gene contains 12 exons. Alternative splicing within exon 10 gives rise to two different mRNAs that code for pre-lamin A and C. Lamin A/C mapped to 1q21.2-q21.3 and mutations in this gene cause a variety of human diseases including Emery-Dreifuss muscular dystrophy, dilated cardiomyopathy, and Hutchinson-Gilford progeria syndrome. Protein deficiency is thus associated with both defective nuclear mechanics and impaired mechanically activated gene transcription.

Application Notes

The stated application concentrations are suggested starting points. Titration of the Lamin A/C antibody may be required due to differences in protocols and secondary/substrate sensitivity.

Immunogen

Amino acids 455-469 (RNKSNEDQSMGNWQI) were used as the immunogen for this Lamin A/C antibody (100% homologous in human, mouse and rat).

Storage

After reconstitution, the Lamin A/C antibody can be stored for up to one month at 4oC. For long-term, aliquot and store at -20oC. Avoid repeated freezing and thawing.

Cross
Bulk Quote Request Form
Name*:
Organization*:
Email*:
Phone Number*:
Catalog No.*:
Comments and Specifics(amount, formulation, etc.)*:
Validation code: Captchapackage Image


Can't read the image? click here to refresh.
    *required field

Your bulk quote request has been submitted successfully!

Please contact us if you have any questions.